아파서 치과에 오신분들 중에
많은 분들이 이렇게 생각하시더라구요.
“너무 아픈데 바로 신경치료 왜 안해주시나요?”
그런데 실제 진료에서는
치료보다 먼저 확인해야 할 단계가 있습니다.
바로 치아 상태를 정확히 확인하는 검사와 진단입니다. ^^
신경치료의 성공률은 치료 기술보다 ‘진단 정확도’에 크게 영향을 받습니다
그래서 오늘은
신경치료 전에 왜 검사와 진단이 중요한지
쉽게 설명해보겠습니다.
신경치료는 어떤 치료일까요
신경치료의 과정을 나타낸 그림입니다. 먼저 치아 내부의 신경을 모두 제거해줍니다. 그리고 나서 신경관을 소독합니다. 신경관 소독이 끝나면 생체친화적인 재료로 신경관을 채워주구요, 마지막으로 원래 치아처럼 수복을 해주면 치료가 모두 끝나게 됩니다. (출처: https://www.pembrokepinesrootcanal.com)
먼저 신경치료는
치아 안쪽에 있는 치수(pulp) 조직이 감염되거나 손상되었을 때
그 조직을 제거하고 근관을 밀폐하는 치료입니다.
치아 내부에는
신경
혈관
결합조직
이 들어있는 치수 조직이 있습니다.
이 조직이 세균 감염으로 염증을 일으키면
신경치료가 필요해질 수 있습니다.
하지만 중요한 점은
모든 치아 통증이 신경치료 대상은 아니라는 것입니다
그래서 치료 전 정확한 진단 과정이 필요합니다.
신경치료 전에 꼭 하는 검사
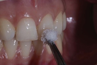
아프다고 다 신경치료를 해야되는게 아닙니다. 신경이 멀쩡해도 아플 수 있습니다. 멀쩡한 신경을 제거하고 싶지는 않으실겁니다. 그렇기 때문에 신경치료 전에는 신경이 살아있나 감염이 되었나 검사를 통해 판단해야 됩니다. 위 사진은 치아에 차가운 자극을 주는 검사입니다. (출처: https://pocketdentistry.com/)
신경치료 전에는
여러 가지 검사를 통해 치아 상태를 확인합니다.
대표적인 검사로는
냉온 자극 검사 (cold test)
전기 치수 검사 (EPT)
타진 검사
치주 검사
등이 있습니다.
이 검사들은
치아 신경이 살아있는지, 염증이 있는지, 이미 괴사했는지
판단하는 데 도움을 줍니다.
실제로 치수 상태를 정확히 판단하는 것이
근관치료 계획의 핵심 단계라고 알려져 있습니다.
신경치료 전에 정확한 검사와 진단이 필요한 이유가 바로 여기 있습니다
방사선 사진 검사도 중요한 이유
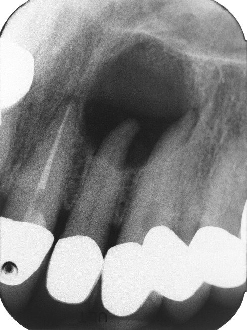
엑스레이 검사도 필수입니다. 위 엑스레이 사진을 보시면 치아의 뿌리 끝부분에 검정색 동그라미 부분이 있는걸 아실 수 있죠. 이게 원래는 다 뼈로 차있어야 하는 공간입니다. 주변을 보시면 하얗게 뼈가 있죠. 그 부분만 검정색이라는건 뼈가 없다는 겁니다. 왜 뼈가 없어졌을까요? 대신 그 자리에 염증이 생겼다는 뜻입니다. 이런 식으로 보인다면 이건 100% 신경이 감염된걸로 볼 수 있습니다. 이미 감염이 되어 뼈까지 녹일정도로 심하다는 겁니다. (출처: https://www.sciencedirect.com)
신경치료 전에 방사선 사진 검사도 거의 반드시 진행됩니다.
이 검사를 통해
치근단 염증 여부
뿌리 형태
근관 개수
주변 뼈 상태
를 확인할 수 있습니다.
치과 방사선 영상은
진단과 치료 계획을 세우는 데 핵심 도구로 알려져 있습니다.
또한 치료 전 촬영한 영상은
치료 후 회복 상태를 확인하는 기준이 되기도 합니다.
신경치료 전 방사선 검사는 치료 계획의 중요한 기준이 됩니다
검사를 생략하면 생길 수 있는 문제
치아의 신경관의 구조는 사람마다 달라서 같은 치아라도 신경관의 개수, 위치, 어디에서 갈라지는지 등이 모두 다릅니다. 특히 위쪽 어금니는 숨어있는 신경관이 있는걸로 유명합니다. 이걸 찾아내서 모두 치료해야만 추가적인 염증이 생기지 않습니다. 반드시 사전에 엑스레이를 통해 검사를 하셔야 합니다. (출처: https://www.oralhealthgroup.com)
신경치료 전에 충분한 검사 없이 치료를 시작하면
다음과 같은 문제가 생길 수 있습니다.
- 실제로는 신경치료가 필요 없는 치아
- 근관 구조를 정확히 확인하지 못한 경우
- 치근단 병소를 놓친 경우
특히 치아 뿌리는 생각보다 복잡한 구조를 가지고 있어서
정확한 진단 없이 치료하면
근관 일부를 놓치는 경우도 발생할 수 있습니다.
그래서
신경치료 전 검사와 진단 과정이 치료 성공률에 큰 영향을 줍니다
아프다고 무조건 신경치료 바로 하는거 아닙니다
신경치료는 단순히
“아프니까 바로 하는 치료”가 아닙니다.
치과에서는 보통
문진
치아 검사
치수 검사
방사선 검사
이 과정을 통해
치아 상태를 먼저 확인합니다.
이 과정을 통해
정확한 치료 계획을 세우는 것이
신경치료의 중요한 시작입니다.
그래서 신경치료 이야기를 들었다면
치료 자체보다 진단 과정이 어떻게 이루어지는지
한 번 확인해보는 것도 좋습니다. ^^
서울대 윤원장이었습니다.
감사합니다.
👇🏻 함께 읽어보시면 좋은 글들!👇🏻

