가만히 있을 땐 괜찮은데,
밥 씹을 때만 찌릿😣
“이상하다... 평소엔 안 아픈데?”
“예전에 씌운 골드 크라운 때문인가?”
이런 씹을 때 통증 때문에
검색해서 들어오신 분들 정말 많으실 거예요.
오늘은
씹을 때만 아픈 통증의 대표적인 두 원인,
충치와 골드 크라운 문제를
구분해서 설명드릴게요🙂
🤔 씹을 때 통증, 왜 생길까요?
치아에 크랙(균열)이 있는 경우, 씹을때마다 통증이 생기게 됩니다. 씹을때 안쪽의 치수(신경)이 자극을 받아 그 자극을 뇌에 전달하기 때문이죠^^ (출처: https://www.logandental.net/)
치아는
‘가만히 있을 때’보다
‘힘이 가해질 때’ 훨씬 많은 정보를 드러냅니다.
씹을 때 통증이 생긴다는 건
치아 구조 어딘가가 압력을 못 견디고 있다는 신호예요.
그 대표적인 원인이 바로
충치
기존에 씌운 골드 크라운 문제입니다.
🦷 원인 ① 충치가 깊어졌을 때
충치가 어느 정도 진행되면
겉으로는 큰 증상이 없어 보여도
씹을 때만 통증이 나타날 수 있어요.
특히
- 충치가 상아질까지 깊어진 경우
- 치아에 미세한 균열(crack)이 생긴 경우
이때는
압력이 가해질 때만
신경 쪽으로 자극이 전달됩니다.
그래서
✔ 평소엔 괜찮다가
✔ 씹을 때만 욱신
이런 씹을 때 통증이 생기는 거죠.
겉으로 안 보여도 충치는 조용히 진행될 수 있습니다 😥
치아에 크랙(균열)이 생겼을 때 발생할 수 있는 증상들을 나타낸 그림입니다. 씹을때 통증이 생기고, 온도에 통증이 민감해지는게 특징입니다. (출처: https://www.citydentists.co.nz)
🦷 원인 ② 골드 크라운 아래 생긴 문제
예전에 씌운 골드 크라운,
겉보기엔 멀쩡해 보이는데도
씹을 때 통증이 생기는 경우가 많아요.
그 이유는👇
- 골드 크라운은 접착이 아닌 합착 방식(합착(Luting)
은 시멘트 같은 접착제를 틈새에 채워 넣는 방식으로 결합하는 것이고, 접착(Bonding)은 접착제를 이용해 치아와 수복물 표면을 분자 수준에서 화학적으로 결합시켜 더 강력하고 견고하게 붙이는 방법입니다!)
- 시간이 지나며 미세한 틈 발생
- 그 틈으로 세균이 침투
이로 인해
크라운 아래에서 2차 충치가 생길 수 있습니다.
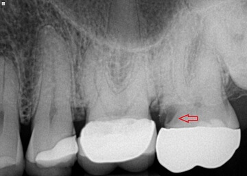
크라운 하방에 2차 충치가 생긴 x-ray 사진입니다. 빨간색 화살표를 따라가보시면 원래 흰색으로 치아가 있어야 되는 자리가 검정색으로 되어있습니다(x-ray 사진에서는 검정색이 빈공간, 흰색이 무언가 있다는 뜻입니다) 즉, 2차 충치가 생겨서 파먹은 공간(cavity)가 생긴 셈입니다. (출처: https://www.atlasdental.ca/)
이 경우
✔ 가만히 있을 땐 괜찮고
✔ 특정 방향으로 씹을 때만 아파요 😬
그래서 환자분들이
“금이 문제인가?” 하고 느끼게 됩니다.
🤔 충치일까, 골드 크라운 문제일까? 이렇게 구분해보세요
아래 기준으로 보면 도움이 됩니다🙂
특정 한 점을 씹을 때만 아프다 → 균열, 충치 의심
크라운 씌운 치아가 유독 아프다 → 크라운 아래 문제 의심
통증이 점점 잦아진다 → 충치 진행 가능성 ↑
씹고 나면 통증이 잠시 남는다 → 신경 자극 단계 가능성
물론
정확한 구분은
X-ray, 교합 검사, 탐침 검사가 필요해요.
씹을 때 통증은 ‘지켜볼 증상’이 아니라 ‘확인할 신호’입니다.
⚠️ 그냥 두면 어떻게 될까요?
충치든,
골드 크라운 아래 문제든
방치하면 결과는 비슷합니다.
- 통증이 점점 잦아지고
- 신경까지 염증이 퍼지고
- 결국 신경치료 또는 발치로 이어질 수 있어요 😢
특히
씹을 때 통증이 반복된다면
이미 치아 내부에서 구조적 문제가 시작됐다는 뜻입니다.
🦷 가장 중요한 걸 말씀드릴게요
씹을 때만 아픈 통증은
대부분 우연이 아닙니다.
- 충치가 깊어졌거나
- 골드 크라운 아래에서 문제가 생겼거나
둘 중 하나일 가능성이 높아요.
치아는
아프기 전보다
“씹을 때 먼저 신호”를 보내는 경우가 많습니다🙂
그 신호를 놓치지 않는 게
치아를 오래 쓰는 가장 좋은 방법이에요.
서울대 윤원장이었습니다.
감사합니다 😊
👇🏻 함께 읽어보시면 좋은 글들! 👇🏻

