밥을 씹다가
갑자기 “딱” 하고 이물감이 느껴지고 😣
거울을 보니
“어... 크라운이 깨진 것 같은데요?”
이런 상황,
생각보다 정말 자주 생깁니다.
오늘은
크라운 깨짐, 파절이 왜 생기는지,
그리고 지금 무엇을 해야 하는지를
차분히 정리해볼게요🙂
🤔 크라운은 왜 깨질까요?
상악좌측 2번째 큰어금니에 씌운 지르코니아 크라운이 깨진 모습입니다. 크라운도 깨지는 경우가 있어요(출처: https://www.researchgate.net/publication/374193953_Retrospective_clinical_study_of_1472-unit_monolithic_zirconia_restorations_with_feather-edge_margins_realized_with_digital_workflow)
크라운은
치아를 보호하기 위해 씌우는 보철물이지만,
‘절대 안 깨지는 재료’는 아닙니다.
특히
씹는 힘이 반복적으로 가해지면
어느 순간 파절(fracture)이 발생할 수 있어요.
크라운 깨짐은 갑자기 생기는 것 같아 보여도, 대부분 누적된 결과입니다.
🦷 원인 ① 씹는 힘과 교합 문제
가장 흔한 원인입니다.
- 이를 꽉 무는 습관
- 이갈이 😬
- 특정 치아에 힘이 집중되는 교합
이런 경우
크라운 한쪽 면에 반복적으로 힘이 쌓이면서
미세 균열 → 결국 깨짐, 파절로 이어집니다.
특히 어금니 크라운에서
이 문제가 정말 흔해요.
씹는 힘이 너무 강한 경우, 미세 균열이 생길 수 있습니다. 결국 이 미세 균열이 크라운의 깨짐이나 파절을 만드는 거죠(출처: https://clinicapardinas.com/)
🦷 원인 ② 크라운 아래 치아가 약해진 경우
겉에서 보면
크라운은 멀쩡해 보이는데
어느 날 갑자기 깨지는 경우도 있습니다.
이럴 땐
크라운 아래 치아가 이미 약해져 있었을 가능성을
꼭 생각해야 해요.
- 2차 충치
- 신경치료 후 치질 손실
- 내부 균열
이런 상태에서는
겉의 크라운이 버티지 못하고
함께 파절되는 경우가 많습니다 😥
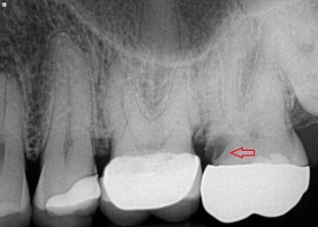
위 엑스레이 사진의 빨간 화살표를 보시면 검정색 부분이 있습니다. 이게 바로 2차 충치입니다. 엑스레이 사진에서 검은색 부분은 빈공간, 흰색 부분은 무언가 차있는 공간을 나타내는데요, 2차충치로 인해 크라운 아랫쪽이 비어있는 상태입니다. 이런 경우, 겉의 크라운이 버티지 못하고 파절되는 경우가 있습니다(출처: https://atlasdental.ca/)
🦷 원인 ③ 재료 특성과 사용 시간
크라운 재료도
깨짐, 파절 양상에 영향을 줍니다.
세라믹 크라운: 심미적이지만 충격엔 상대적으로 약함
지르코니아 크라운: 단단하지만 교합 조정이 중요
오래 사용한 크라운: 미세 마모와 피로 누적
여러가지 종류의 크라운들입니다. 요즘에는 주로 치아색이 나는 세라믹 크라운이나 지르코니아 크라운이 많이 사용되는 추세입니다. 재료에 따라서 깨짐이나 파절의 양상이 달라지죠. 세라믹 크라운은 도자기라고 보시면 됩니다. 그래서 충격에 약한 특징이 있습니다. 지르코니아 같은 경우에는 단단한게 특징이지만 너무 단단해서 만약 교합이 맞지 않는 경우 턱관절이나 근육에 무리를 줄 수 있습니다. 치아 자체에도 심한 부담을 줄 수 있구요. 그래서 교합 조정이 중요합니다(출처: https://urbansmileschicago.com/)
크라운치료 후 시간이 오래 지났다면, 파절 위험은 자연스럽게 올라갑니다.
⚠️ 크라운이 깨졌을 때, 지금 해야 할 것
많이들
“조금 깨졌으니 괜찮겠지...” 하고 넘기세요 😅
하지만 이건
지켜볼 문제가 아니라 확인해야 할 신호입니다.
날카로운 부분은 혀·볼을 다치게 할 수 있고
내부 치아가 노출되면 통증·염증으로 이어질 수 있어요
방치하면 크라운치료가 아니라 발치로 이어질 수도 있습니다
그래서
깨짐, 파절이 확인되면
👉 가능한 한 빨리 치과에서 상태를 보시는 게 좋아요.
🦷 다음 단계는 어떻게 될까요?
깨진 정도에 따라 다릅니다🙂
크라운 일부 파절 → 교체 또는 재제작
크라운 + 내부 치아 손상 → 보강 후 크라운치료
치질이 많이 남지 않은 경우 → 다른 치료 옵션 논의
중요한 건
“깨졌다는 사실”보다
왜 깨졌는지를 정확히 파악하는 것이에요.
그래야 같은 문제가 반복되지 않습니다.
🦷 이것만 기억하시면 됩니다...!
크라운 깨짐, 파절은
드문 일이 아닙니다.
대부분
- 씹는 힘
- 내부 치아 상태
- 시간에 따른 재료 피로
이 세 가지가 겹쳐서 생겨요.
치아는 늘 신호를 보냅니다.
깨짐은 그 신호가
겉으로 드러난 형태일 뿐이에요.
그 신호를 놓치지 않고
다음 단계를 제대로 선택하는 것,
그게 크라운치료를 오래 쓰는 가장 좋은 방법입니다.
서울대 윤원장이었습니다.
감사합니다 😊
👇🏻 함께 읽어보시면 좋은 글들! 👇🏻

