치과에서 “충치가 있습니다”라는 말을 들으면
그 다음 질문은 거의 같아요.
“그래서 비용은 얼마나 나오나요?”
“레진이면 끝나는 건가요, 아니면 인레이나 크라운까지 해야 하나요?”
같은 충치인데도
충치 치료 비용이 크게 달라지는 이유가 있습니다. ^^
결론부터 말씀드리면
충치 치료 비용은 ‘충치 진행 단계’에 따라 결정되거든요.
그래서 치료 종류를 이해하면
비용도 자연스럽게 이해되는거에요.
충치 치료 비용이 달라지는 기준
충치의 발생은 시간이 지남에 따라 왼쪽에서 오른쪽으로 진행되요. 초기에는 법랑질에 국한되지만 방치하게 되면 결국 신경까지 진행하게 되죠. (출처: https://www.ftbenddental.com/)
충치는
법랑질(enamel)
상아질(dentin)
신경(pulp)
으로 점점 깊어집니다.
연구에서도 충치가 깊어질수록
더 복잡하고 비용이 높은 치료가 필요하다고 보고됩니다.
충치 치료 비용은 “어디까지 진행됐는지”가 핵심이에요.
그래서 같은 충치라도
비용 차이가 크게 발생합니다.
레진 치료 비용 (초기 충치)
레진은 충치가 그렇게 크지 않을때 치료하는 방법이에요. 보통 신경까지 침범하지 않았을때 할 수 있는 치료에요(출처: https://pondsquaredental.co.uk/)
충치가 초기 단계라면
레진으로 간단히 치료할 수 있습니다.
치아 삭제 최소
당일 치료 가능
비용 부담 적음
보통
👉 5만 ~ 15만원 정도
레진은 간단하고 빠르지만
넓은 부위에는 한계가 있습니다.
충치 치료 비용은 이 단계에서 가장 낮아요.
그래서 가능한 한
이 단계에서 치료하는 것이 중요합니다.
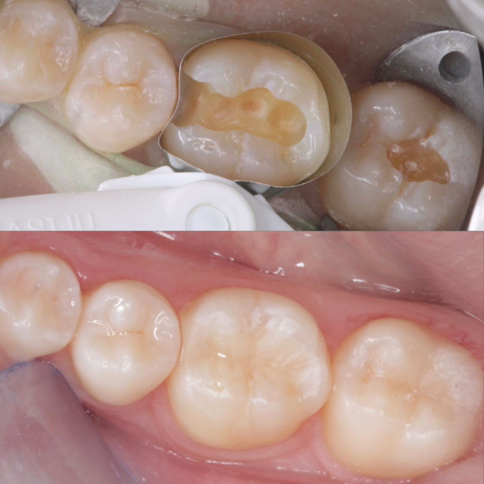
인레이 치료 비용 (중간 단계)
인레이는 레진보다 조금 더 광범위한 치료를 해야 할 때 사용하는 치료방법이에요. 충치를 삭제한 후 본을 뜬다음 그 부분에 맞는 조각을 끼워서 붙이는 방식이에요 (출처: https://smilesdental.com/)
충치가 조금 더 진행되면
인레이 치료가 필요합니다.
치아 일부 삭제
외부 제작 후 접착
강도와 정밀도 증가
보통
👉 25만 ~ 40만원 정도
논문에서도 인레이는
직접 레진보다 비용과 제작 과정이 더 복잡한 치료로 보고됩니다.
또한 인레이는
크라운까지 가지 않고 치아를 살릴 수 있는
중간 단계 치료에요.
인레이는 비용이 증가하지만 치아 보존에 중요한 단계입니다
크라운 치료 비용 (심한 충치)
충치가 매우 심하다면 아예 치아 전체를 덮는 크라운 치료를 해야됩니다. 이 경우 신경치료까지 병행하는 경우도 많다는 점 참고하세요. (출처: https://www.birnbaumdmd.com/)
충치가 많이 진행되거나
신경치료까지 필요한 경우
크라운 치료가 필요합니다.
치아 전체를 덮는 구조
강도 확보
비용 상승
보통
👉 40만 ~ 70만원 이상
연구에서도 크라운은
심하게 손상된 치아의 구조를 보호하기 위해 사용되는 치료입니다.
충치 치료 비용은 이 단계에서 가장 크게 증가해요.
⚠️ 비용보다 더 중요한 기준
많은 분들이
“비용이 낮은 치료가 좋은 치료 아닌가요?”라고 생각합니다.
하지만 실제 기준은 다릅니다.
얼마나 저렴한가 ❌
얼마나 치아를 살릴 수 있는가 ⭕
최근 연구에서도
인레이와 같은 보존적 치료가
불필요한 치아 삭제를 줄일 수 있다는 보고가 있습니다.
치료 선택 기준은 비용이 아니라 ‘치아 보존’입니다
충치치료는 방치해둘수록 불편함도, 비용도 늘어나요.
충치 치료 비용은
단순한 가격 차이가 아니라
치아 상태에 따른 단계 차이입니다.
레진 → 초기 / 비용 낮음
인레이 → 중간 / 비용 증가
크라운 → 심함 / 비용 높음
그리고 가장 중요한 점은
충치는 빨리 치료할수록 비용도, 치료 범위도 줄어듭니다
그래서 “조금 더 지켜볼까?”보다는
초기에 치료하는 것이 가장 좋은 선택이에요. ^^
서울대 윤원장이었습니다.
감사합니다.
👇🏻 함께 읽어보시면 좋은 글들!👇🏻

