충치 치료 후 인레이를 하고
몇 년, 혹은 10년 이상 지나면
문득 이런 생각이 드는 경우가 많죠 🤔
“이거 아직 괜찮은 걸까?”
“오래됐으면 바꿔야 하나요?”
사실 인레이는
한 번 하면 오래 쓰는 치료이지만
영구적인 치료는 아닙니다.
오늘은
오래된 인레이 교체 필요성과
지금 확인해봐야 할 체크포인트를
차분히 설명해보겠습니다.
🦷 인레이, 보통 얼마나 오래 쓸 수 있을까요?
인레이를 나타낸 그림입니다. 충치가 생긴 부분을 제거하고 본을 뜬다음 그 모양대로 수복물을 만들어 붙이는 치료입니다. (출처: https://hemetdentalcenter.com/)
많은 분들이
“인레이는 몇 년마다 교체해야 하나요?”라고 물어보세요.
연구들을 보면
인레이의 평균 수명은 약 5~20년 정도로 보고됩니다.
또 일부 연구에서는
10년 이상 유지되는 성공률이
90% 이상으로 보고되기도 합니다.
즉
인레이 자체는 상당히 오래 사용할 수 있는 치료입니다.
하지만 여기서 중요한 건
인레이 자체보다 “주변 치아 상태”입니다.
🤔 오래된 인레이에서 가장 흔한 문제
오래된 인레이에는 틈이 생기게 됩니다. 인레이는 완벽하게 sealing을 하지 못하기 때문이죠. 그 틈 사이로 충치가 진행되어 2차우식이 발생될 수 있습니다. 위 엑스레이 사진을 보시면 초록색 화살표 쪽에 2차우식이 생긴걸 보실 수 있습니다. 그에 따라 신경이 감염되어 파란색 화살표의 염증이 생기게 되는 것이죠. 참고로 검정색 부분은 빈 공간으로 염증이나 충치의 부분을 나타냅니다. (출처: http://smilecreationdental.com/)
놀랍게도
인레이 자체가 깨지는 경우보다
더 흔한 문제는 바로 이것입니다.
👉 인레이 아래에 생기는 2차 충치
시간이 지나면서
접착 경계가 마모되고
미세한 틈이 생기고
그 틈으로 세균이 들어갑니다.
그래서 겉에서 보면 멀쩡해 보여도
안쪽에서는 충치가 진행될 수 있어요 😬
오래된 인레이 교체 필요성의 가장 큰 이유는 ‘2차 충치’입니다.
⚠️ 이런 신호가 있다면 점검이 필요합니다
다음 증상이 있다면
인레이 교체 여부를 확인해보는 게 좋습니다.
특정 치아에서 씹을 때 불편감 😣
음식물이 계속 끼는 느낌
인레이 가장자리 변색
찬물 시림
인레이 주변 잇몸 염증
특히 “음식이 계속 같은 곳에 끼는 느낌”은 중요한 신호입니다.
이건 단순한 불편이 아니라
이미 미세 틈이 생겼다는 의미일 수 있습니다.
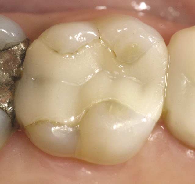
🦷 인레이가 오래되면 생기는 ‘미세 변화’
위 인레이를 보세요. 경계부가 다 보입니다. 저 인레이의 경우에도 원래는 티가 안났을겁니다. 인레이와 치아의 경계가요. 그런데 시간이 지날수록 미세한 틈에 음식물이나 치태가 쌓이게 되어 변색이 일어난 것입니다. (출처: https://www.researchgate.net/)
많은 분들이 모르시는 사실 하나 있습니다.
인레이는
금속이든 세라믹이든
시간이 지나면서 경계부가 마모됩니다.
연구에서도
인레이 실패의 주요 원인이
👉 경계부 손상 (margin breakdown)
👉 파절(fracture)
👉 2차 충치
순으로 보고됩니다.
그래서
겉으로 멀쩡해도 교체가 필요한 경우가 생깁니다.
이게 바로
환자분들이 잘 모르는 포인트입니다.
🤔 오래된 인레이, 무조건 교체해야 할까요?
결론부터 말하면
반드시 그렇지는 않습니다.
다음 조건이면
계속 사용할 수 있는 경우도 많습니다 🙂
인레이 경계가 깨끗한 경우
X-ray에서 충치가 없는 경우
씹는 기능에 문제 없는 경우
즉
인레이 교체 기준은 ‘시간’이 아니라 ‘상태’입니다.
그래서 정기 검진이 중요한 거죠.
🦷 인레이는 이것만 기억하세요
인레이는
굉장히 오래 사용할 수 있는 치료입니다.
하지만 시간이 지나면
경계 마모
2차 충치
미세 균열
같은 문제가 생길 수 있습니다.
그래서
오래된 인레이 교체 필요성은
“몇 년 지났는지”보다
“지금 상태가 어떤지”가 기준입니다.
치아 치료는
교체 시기를 너무 늦추는 것보다
문제가 시작되는 순간 발견하는 것이 훨씬 중요합니다 🙂
서울대 윤원장이었습니다.
감사합니다 😊
👇🏻 함께 읽어보시면 좋은 글들! 👇🏻

