요즘 앞니에 투스젬을 붙이는 분들이 꽤 많습니다.
작은 보석 하나만 붙여도 분위기가 달라져서요. ^^
그런데 진료실에서는 이런 질문도 자주 듣습니다.
“앞니 크라운 계획이 있는데 투스젬 그대로 둬도 될까요?”
“임플란트 하게 되면 투스젬 제거해야 하나요?”
결론부터 말씀드리면
보철이나 임플란트 계획이 있다면 투스젬은 미리 제거하는 것이 좋습니다.
오늘은 그 이유를 설명드리겠습니다.
투스젬은 어떻게 붙는 걸까요
요즘 투스젬 하시는 분들이 늘고 있더라구요. 개성있는건 인정합니다! 근데...투스젬은 어떻게 붙이는걸까요? (출처: https://dentakademiglobal.com/)
투스젬은 치아 표면에 레진 계열 접착제를 이용해 부착합니다.
교정 브라켓을 붙이는 방식과 비슷하게
치아 표면을 살짝 처리한 뒤 접착제를 사용합니다.
그래서 투스젬은
몇 달 이상 유지되기도 하고
원하면 비교적 쉽게 제거할 수도 있습니다.
실제로 대부분 6개월 정도 유지 후 교체하는 경우도 많습니다.
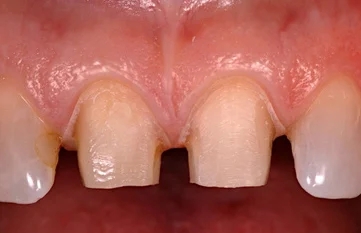
문제는 보철 치료와의 간섭입니다
놀라지 마세요 이 사진은 앞니 크라운을 하기 위해 치아를 삭제해놓은 모습입니다. 지극히 정상적인 치료입니다. 하지만 만약 투스젬을 붙여두셨다면, 치과의사 입장에서 저렇게 만들 수 없겠죠. 어쩔 수 없이 제거를 해야 합니다. (출처: https://blog.ddslab.com)
앞니 보철 치료나 임플란트 크라운 제작을 할 때는
치아 표면을 아주 정밀하게 확인해야 합니다.
그런데 투스젬이 있으면
- 치아 표면 확인이 어려워지고
- 접착 잔여물이 남아 있을 수 있고
- 정확한 색상 분석에도 영향을 줄 수 있습니다.
그래서 보철 치료 전에는
대부분 투스젬 제거를 먼저 진행합니다.
보철물의 정확한 적합도를 위해 치아 표면은 깨끗한 상태가 필요합니다.
‼️ 의외로 중요한 부분 하나
많은 분들이 잘 모르시는 부분인데요.
투스젬을 제거한 뒤에는
접착 레진 잔여물이 남아 있는 경우가 있습니다.
이 접착제가 남아 있으면
보철 접착력에 영향을 줄 수 있고
세균이 붙는 표면이 될 수도 있습니다.
그래서 치과에서는
투스젬 제거를 해드린 후 폴리싱(polishing) 과정으로
표면을 다시 정리하게 됩니다.
이 과정이 생각보다 중요합니다. ^^
임플란트와의 관계는 어떨까요
임플란트도 마찬가지입니다. 임플란트를 할 때, 그 치아가 아니더라도 옆 치아에 임플란트를 할 때는 대칭성이 굉장히 중요합니다. 옆 치아와 당연히 동일하게 잘 어울리게 만들어야겠죠. 하지만 투스젬이 있다면, 의사의 판단에 방해가 되는 건 어쩔 수 없습니다. 제거를 하고 진행하는게 안전합니다. (출처: https://www.oralhealthgroup.com/)
앞니 임플란트를 계획하는 경우에도
투스젬은 미리 제거하는 것이 좋습니다.
이유는 크게 두 가지입니다.
첫 번째
보철 디자인을 할 때 치아 형태 분석이 필요합니다.
두 번째
투스젬 위치에 따라
크라운 형태 디자인이 달라질 수 있습니다.
특히 임플란트 보철은
자연치와 대칭과 형태가 중요하기 때문에
장식물이 없는 상태에서 분석하는 것이 좋습니다.
이런 경우라면 특히 제거를 고려합니다
다음 상황이라면
투스젬 제거를 먼저 해드리는 경우가 많습니다.
앞니 라미네이트 예정
앞니 크라운 치료 예정
앞니 임플란트 보철 계획
앞니 미백 치료 예정
이런 치료들은 모두
치아 표면 상태가 중요하기 때문입니다.
💎 투스젬, 제거가 필요한 경우엔 제거해야 합니다
투스젬 자체는 큰 치료는 아니지만
앞니 보철이나 임플란트 계획이 있다면
미리 제거하는 것이 좋습니다.
보철 디자인 정확도
접착 안정성
치아 표면 상태 확인
이 세 가지 이유 때문입니다.
생각보다 작은 요소 하나가
치료 결과에 영향을 줄 수 있거든요. ^^
그래서 앞니 치료를 계획 중이라면
투스젬 여부도 함께 상담해보시는 것을 권합니다.
치과에서 안전하게 제거해드리니 걱정 안하셔도 됩니다 ㅎㅎ
서울대 윤원장이었습니다.
감사합니다.
👇🏻 함께 읽어보시면 좋은 글들! 👇🏻

