안녕하세요, 서울대학교 치의학대학원 출신 윤원장입니다.
잇몸에 뭐가 생겼는데 무슨병이지?
이걸 치과에 가서 진료받는게 맞는건가.
귀찮은데 그냥 놔두면 낫는거 아닌가?
이가 흔들리는데 갑자기 왜 그러지..
혹시라도 이런 생각을 하고 계셨다면 오늘 글에 주목해주세요.
보통은 치주질환이나 연조직질환 때문입니다.
그대로 두게 되면 뼈가 다 녹아 없어지거나 암으로 발전될 수도 있죠.
지금은 두가지가 뭔지 모르겠고, 헷갈리실 겁니다.
그런데 둘을 구분하는 것은 굉장히 중요합니다.
연조직 질환은 아래 포스팅에 이미 소개를 해 두었습니다.
쉽게 풀어 설명해두었으니 걱정 마시고 읽어보세요.
여러분의 상황일 수도 있으니까요.
오늘 글은 치주질환에 대한 내용입니다.
사실 조금 어려울 수 있습니다.
하지만 똑똑하신 분들이라면 모두 이해하실 수 있을 겁니다.
3분안에 끝낼테니 한번 도전해보시기 바랍니다.
치주질환은 많은 사람들에게 영향을 미치는 매우 흔한 질환입니다.
실제로 30세 이상 성인의 47% 이상이 어떤 형태로든 치주질환을 앓고 있습니다.
그렇다면 치주질환이란 무엇일까요?
간단히 말해서 치아를 지탱하는 연조직과 뼈를 손상시킬 수 있는 잇몸 감염입니다.
이 질병은 입안의 박테리아가 치아에 플라그라고 하는 끈적끈적한 막을 형성할 때 시작됩니다.
플라크는 양치질과 치실 사용으로 제거되지 않으면 굳어서 치석이 됩니다.
치석은 제거하기가 훨씬 어려우며 잇몸질환치과에서 치과의사나 치위생사에게 스케일링을 받으셔야 합니다.
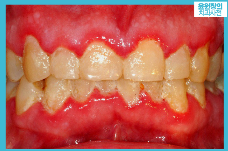
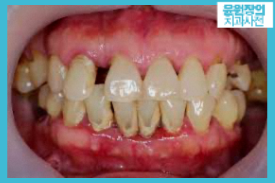
플라그와 치석의 박테리아가 자라면 잇몸을 자극하고 염증을 일으켜 치은염을 일으킬 수 있습니다.
치은염은 치주질환의 초기 단계로 잇몸이 붉어지고 붓고 피가 나는 것이 특징입니다.
이 단계에서 질병은 정기적인 칫솔질과 치실 사용과 같은 적절한 치과 치료를 통해 쉽게 치료하고 되돌릴 수 있습니다.
치은염을 치료하지 않고 방치하면 치주염으로 진행될 수 있습니다.
이것은 더 심각한 형태의 치주질환으로 치석과 치석에 있는 박테리아가 치아를 제자리에 고정시키는 뼈와 결합조직을 공격하기 시작합니다.
시간이 지남에 따라 이것은 치아 손실 및 기타 심각한 건강 문제로 이어질 수 있습니다.
불량한 구강 위생, 흡연, 당뇨병, 특정 약물 및 질병의 가족력이 치주질환 발병 위험을 증가시킬 수 있구요.
이제 잇몸질환치과에서 치주질환을 예방할 수 있는 방법이 궁금하실 텐데요.
좋은 소식이 있습니다.
적절한 치과치료를 통해 쉽게 예방할 수 있다는 거죠.
다음은 치아와 잇몸을 건강하게 유지하는데 도움이 되는 요령들입니다.
불소 치약으로 하루에 두번 이를 닦으세요.
매번 2분 이상 양치하고 부드러운 칫솔을 사용하시면 됩니다.
하루에 한 번 이상 치실을 사용하여 치아 사이의 플라크와 음식물 찌꺼기를 제거하세요.
과일, 채소, 통곡물이 풍부한 건강한 식단을 섭취하세요.
단 음식과 산성 음식, 산성 음료는 충치가 생길 수 있으므로 피하시는게 좋습니다.
담배는 자제하시는게 좋습니다.
치주질환 및 건강 문제가 발생할 위험이 높습니다.
정기적으로 치과를 방문해서 스케일링을 받으세요.
잇몸질환치과에서 치과의사는 치주염을 초기 단계에서 발견하고 치료할 수 있구요.
또한 좋은 구강 건강을 유지하는 방법에 대한 맞춤형 조언을 제공할 수 있습니다.
결론적으로 치주질환은 치아를 지지하는 연조직과 뼈를 손상시킬 수 있는 일반적인 잇몸 감염입니다.
규칙적인 양치질과 치실 사용, 건강한 식단, 정기적인 치과 검진과 같은 적절한 치아 관리를 통해 쉽게 예방할 수 있습니다.
혹시라도 잇몸질환이나 치주질환이 생기셨다고 생각하시면 주변 잇몸질환치과에 가서 상담을 받아보세요.
별거 아닐 수도 있지만요, 아주 위험한 질환일 수도 있습니다.
치과의사에게 조기에 진단을 받는 것이 중요합니다.
치아와 잇몸을 관리하는 것은 전반적인 건강과 삶에 중요하다는 것을 꼭 기억하셨으면 좋겠습니다.
<함께 보시면 좋은 글>
올바른 양치법

