스케일링 받고 나오는데
입안에서 뭔가 따끔하고…
집에 와서 보니 잇몸에서 피가 살짝 😅
“원래 이런가요?”
“괜히 더 상한 건 아닌지 걱정돼요…”
진료실에서 정말 많이 듣는 이야기예요.
특히 잇몸 출혈은 눈에 보이다 보니
괜히 더 불안해지기 쉽죠.
오늘은
스케일링 후 잇몸 출혈, 어디까지 정상인지
딱 필요한 기준만 정리해드릴게요🙂
🤔 먼저, 스케일링이 어떤 치료인지부터
스케일링을 하는 모습을 나타낸 그림입니다. 초음파 스케일러로 치아에 붙어있는 치석을 제거하는 치료입니다 ^^(출처: https://crestmeaddental.com.au/)
스케일링은
치아에 붙어 있던 치석(calculus)을 제거하는 치료입니다.
이 치석은
- 세균 덩어리이고
- 잇몸 안쪽까지 파고들어 있으며
- 잇몸을 늘 자극하고 있던 존재예요.
그래서 스케일링은
잇몸을 상하게 하는 치료가 아니라,
이미 염증이 있던 부위를 드러내는 과정에 가깝습니다.
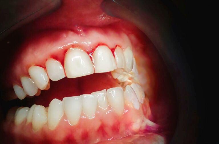
🩸 스케일링 직후 피가 나는 이유
스케일링을 하게되면 사진처럼 피가 나는 경우가 있습니다. 대부분 염증이 있었다는 뜻으로 해석할 수 있습니다 (출처: https://archdental.ca)
잇몸 출혈은 대부분
이미 잇몸에 염증이 있었다는 신호예요.
치은염(gingivitis)이나
초기 치주염이 있는 경우,
치석이 떨어지면서 그 자리가 바로 노출됩니다.
이때
✔ 잇몸이 약해져 있어서
✔ 살짝만 건드려도
✔ 피가 나는 거죠.
그래서
스케일링 직후의 출혈은 ‘치료 반응’인 경우가 많습니다.
✅ 이 정도면 정상이에요
- 스케일링 당일 또는 다음 날까지 피가 살짝 남
- 양치할 때 분홍색 침이 묻어 나옴
- 통증은 거의 없거나 묵직한 느낌 정도
이런 경우라면
대부분 2~3일 내로 자연스럽게 가라앉습니다🙂
오히려
시간이 지나며 피가 줄어드는 게 정상 회복 과정이에요.
❗ 이럴 땐 다시 확인이 필요합니다
반대로 이런 경우는
단순한 정상 반응으로 보기 어렵습니다.
- 4~5일 이상 계속되는 잇몸 출혈
- 가만히 있어도 피가 맺힘
- 붓기, 통증, 고름 같은 느낌 😟
- 특정 한 부위에서만 반복되는 출혈
이 경우엔
치주염이 이미 진행 중일 가능성이 있어요.
스케일링만으로는 부족하고
추가적인 잇몸 치료가 필요할 수 있습니다.
잇몸질환의 단계입니다. 가장 왼쪽은 건강한 잇몸이구요, 오른쪽으로 갈수록 잇몸의 염증이 심화되어, 붓고 피나고 잇몸뼈도 녹고... 하는 상황입니다. 자신이 어느 단계에 있는지 확인하시는것이 가장 중요합니다 (출처: https://www.listerine.in)
🪥 “피 난다고 양치 쉬어도 될까요?”
이 질문도 정말 많이 받아요.
결론부터 말씀드리면
👉 절대 아닙니다.
피가 난다고 양치를 줄이면
세균이 더 쉽게 남아
잇몸 염증은 오히려 심해져요 😬
양치를 하는 방법입니다. 보통 좌우로 쓸면서 양치를 하시거나 위아래로 쓸면서 하시는데요, 정확한 방법은 잇몸에 45도 각도로 칫솔을 눕힌 후 진동을 주고 아래로 쓸어내리는 방법이 효과적이라고 알려져 있습니다. 자세한 부분은 아래 포스팅을 참고해주세요ㅎㅎ (출처: https://www.twinkledental.com.sg)
부드러운 칫솔로
조금 더 조심해서,
조금 더 꼼꼼하게 해주세요.
스케일링 후 관리가 회복을 좌우합니다.
☕️ 정리해보면요
스케일링 후 잇몸 출혈은
대부분 “문제가 생긴 것”이 아니라
“문제가 있었던 걸 이제야 드러낸 것”입니다.
잇몸은 생각보다 솔직해요.
자극을 받으면 바로 반응하고,
관리를 해주면 또 금방 좋아집니다🙂
그 회복의 방향을
잘 잡아주는 게 스케일링이고,
그 다음을 이어가는 게
양치와 생활 습관이에요.
서울대 윤원장이었습니다.
감사합니다 😊
👇🏻 함께 읽어보시면 좋은 글들! 👇🏻

