라미네이트 상담을 하다 보면
많은 분들이 같은 질문을 하시는데요.
“연예인처럼 하얗게 하는 게 좋을까요?”
“너무 티 나면 어떡하죠?”
라미네이트 치료에서
생각보다 가장 중요한 결정이 바로 색상 선택입니다. ^^
라미네이트의 자연스러움은 색상 선택에서 거의 결정됩니다
그래서 오늘은
티 안 나는 자연스러운 라미네이트 색상의 기준을 설명해보겠습니다.
라미네이트 색상은 어떻게 정할까요
라미네이트의 색상은 어떻게 정할까요? 보통 치과에서는 위 사진처럼 색상 가이드가 있습니다. 이 가이드에 맞춰 환자분의 치아와 가장 잘 어울리는 색을 고르게 됩니다. 더 밝게 원하시면 밝은 걸로, 비슷한 걸 원하시면 비슷한걸로 해드립니다. (출처: https://martindaledental.com)
라미네이트 색상은 보통
쉐이드 가이드(shade guide)라는 색상 기준표를 이용해 결정합니다.
이 색상표는 치과에서 사용하는
표준 치아 색상 체계입니다.
예를 들어
A계열 → 자연 치아색
B계열 → 밝은 색
BL계열 → 미백 치아색
처럼 구분됩니다.
그래서 라미네이트 색상은
단순히 “하얀 색”을 고르는 것이 아니라
자연 치아 색 범위 안에서 선택하게 됩니다.
라미네이트 색상은 주변 치아와의 조화가 가장 중요합니다
너무 하얀 라미네이트가 어색한 이유
많은 분들이 라미네이트 색상을 선택하실때 무조건 밝은 색만을 원하시는데요. 위 사진을 보세요. 너무 밝아도 부자연스러워서 어색합니다. 뭐든 적당한게 좋습니다. (출처: https://smilesbybis.com)
라미네이트를 처음 상담할 때
많은 분들이 가장 밝은 색을 선택하고 싶어 합니다.
하지만 실제로는
너무 밝은 색을 선택하면
주변 치아와 색 차이
인위적인 느낌
사진에서 과한 반사
가 생길 수 있습니다.
특히 자연 치아는
완전히 흰색이 아니라 약간의 투명도(translucency)와
미세한 색 변화가 있습니다.
그래서
자연스러운 라미네이트는 “밝기”보다 “조화”가 중요합니다
이 부분을 상담에서 가장 많이 설명하게 됩니다.
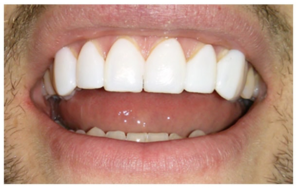
자연스러운 라미네이트 색의 기준
위 사진은 라미네이트 치료 케이스 중에 상을 받을 정도로 치료가 잘 된 사진입니다. 어떠세요? 자연스럽죠? 이런 식으로 라미네이트 치료가 되어야 합니다. 환자분의 얼굴과 치아의 색을 고려해서 균형있는 치료를 하는게 중요합니다. (출처: https://topbeverlyhillsdentist.com/)
라미네이트 색상을 정할 때
보통 다음 기준을 참고합니다.
주변 치아 색상
피부 톤
치아 투명도
웃을 때 보이는 치아 범위
예를 들어
피부 톤이 따뜻한 경우에는
너무 차가운 색의 라미네이트가 어색할 수 있습니다.
그래서 라미네이트 색상 선택은
단순히 하얗게 만드는 치료가 아니라
전체적인 얼굴 균형을 고려하는 과정입니다.
자연스러운 라미네이트는 주변 치아와 거의 구분되지 않는 색입니다
라미네이트 색상을 정할 때 놓치기 쉬운 부분
라미네이트에서 색 못지 않게 중요한 것이 바로 투명도입니다. 위 사진을 보시면 가장 위 치아사진과 가장 아래 치아사진의 차이점이 뭔지 아시겠습니까? 눈치빠른 분들은 눈치채셨겠지만 치아의 끝부분의 투명도입니다. 아래 치아사진에는 그 투명도가 크게 구현이 되어있죠. 우리의 자연치아는 끝부분이 투명합니다. 끝부분은 에나멜층만 있기 때문이죠. 그렇기 때문에 자연스러운 라미네이트 치료를 받으시기 위해서는 끝부분을 어느정도 투명하게 하도록 신경써주셔야 합니다. 물론 너무 과해도 좋지 않겠죠. (출처: https://www.alpersdentistry.com)
라미네이트 상담에서
많은 분들이 놓치는 부분이 있습니다.
바로 투명도(translucency)입니다.
자연 치아는
앞쪽 절단면에 약간의 투명도가 있습니다.
이 부분을 고려하지 않으면
라미네이트가 평평하고 인위적인 느낌이 날 수 있습니다.
그래서 자연스러운 라미네이트는
색상
투명도
표면 질감
까지 함께 고려해서 제작합니다.
라미네이트 자연스러움은 색상 하나로 결정되는 것이 아닙니다
밝다고 무조건 좋은게 아니라 자연스러운게 중요합니다.
라미네이트 색상을 고를 때
가장 중요한 기준은 밝기보다 자연스러움입니다.
너무 밝은 색을 선택하면
오히려 라미네이트가 티 나 보일 수 있습니다.
그래서 보통은
주변 치아와 조화
피부 톤
치아 투명도
를 함께 고려해 색상을 결정합니다.
라미네이트 치료에서
자연스러운 결과를 원한다면
색상 선택 과정이 매우 중요한 단계라고 볼 수 있습니다. ^^
서울대 윤원장이었습니다.
감사합니다.
👇🏻 함께 읽어보시면 좋은 글들!👇🏻

