교정 상담을 하면
거의 빠지지 않고 나오는 질문이 있어요.
“교정하려면 이를 꼭 빼야 하나요?” 😰
“발치 안 하고는 안 되나요?” 🤔
‘발치’라는 단어가 주는 부담이 크다 보니
이 단계에서 고민이 깊어지시는 분들이 많습니다.
결론부터 말씀드리면,
모든 교정이 발치를 동반하는 건 아닙니다.
다만, 필요한 경우에는 이유가 분명합니다.
오늘은
교정 시 발치 여부를 결정하는 기준을 정리해볼게요🙂
🤔 왜 교정에서 발치 이야기가 나올까요?
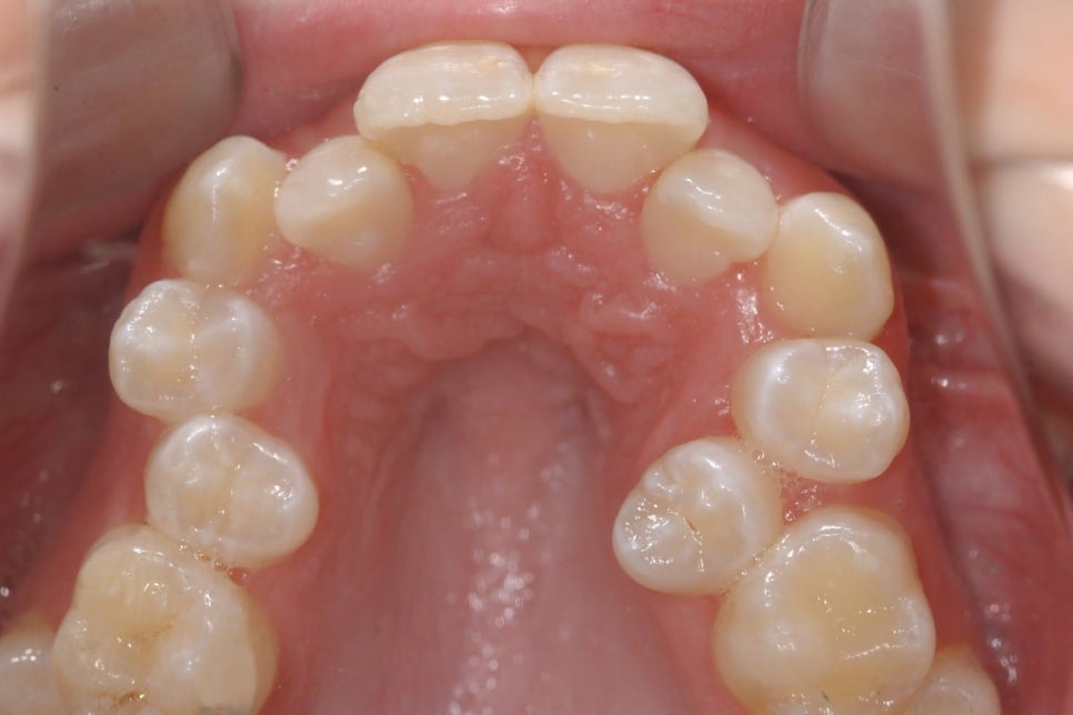
치아교정은 치아를 가지런히 배열하기 위해 진행하는 것입니다. 하지만 공간이 없다면요? 위 사진의 경우 도저히 발치를 하지 않고서는 충분한 공간 확보가 어려워보입니다. (출처: https://www.forbesorthodontics.com/)
치아교정의 목적은
치아를 가지런히 배열하고
씹는 기능과 심미를 개선하는 것입니다 🦷
문제는
치아 크기와 턱 공간의 불균형이에요.
공간이 충분하면
발치 없이도 정렬이 가능하지만,
공간이 부족하면
치아를 밀어 넣을 ‘자리’가 없습니다 😅
교정에서 가장 중요한 건 ‘공간(space)’입니다.
🦷 이런 경우엔 발치를 고려합니다 📏
다음과 같은 조건이라면
발치 교정을 검토하게 됩니다.
- 치아가 심하게 겹쳐 있는 경우
- 입이 많이 돌출된 경우
- 앞니가 심하게 튀어나온 경우
- 공간 확보가 비발치로 어려운 경우
이때는
무리하게 비발치로 진행하면 결과가 불안정해질 수 있습니다.
즉, 발치는
“빼고 싶어서”가 아니라
“결과를 안정적으로 만들기 위한 선택”이에요 ⚖️
🤔 그럼 비발치 교정은 언제 가능할까요?
비발치 교정은
다음과 같은 조건에서 가능합니다 🙂
- 경미한 치열 불규칙
- 턱 공간이 충분한 경우
- 돌출 정도가 심하지 않은 경우
- 치아 크기 대비 공간 여유가 있는 경우
최근에는
장치 기술이 발전하면서
비발치 교정이 가능한 경우도 늘어났습니다 ✨
하지만
모든 케이스에 적용할 수 있는 만능 방법은 아닙니다.
🦷 발치하면 얼굴이 꺼지나요?
이 질문도 정말 자주 나옵니다 😅
발치 교정이
무조건 얼굴을 꺼지게 만들지는 않습니다.
오히려
돌출이 심한 경우에는
자연스럽고 균형 잡힌 얼굴선으로 개선되는 경우도 있어요 😊
중요한 건 발치 여부보다 ‘치료 계획의 정밀도’입니다.
🦷 교정 시 발치를 결정하는 기준은 결국 공간이에요 🙂
교정에서 발치는
무조건 해야 하는 것도,
무조건 피해야 하는 것도 아닙니다.
공간이 충분하면 👉 비발치 가능
공간이 부족하고 돌출이 심하면 👉 발치 고려
결국 기준은 하나입니다.
치료 후 안정적으로 유지될 수 있는가? 🤔
교정은
지금의 배열만 맞추는 치료가 아니라
앞으로의 10년, 20년을 설계하는 치료입니다 🦷✨
그래서 저는
“빼느냐 마느냐”보다
“어떤 계획이 가장 안전한가”를 먼저 고민합니다.
서울대 윤원장이었습니다.
감사합니다 😊
👇🏻 함께 읽어보시면 좋은 글들! 👇🏻

