양치할 때마다
잇몸이 붓고, 피가 나고, 살짝 욱신거리나요? 😣
“치약을 바꿔야 하나…?”
“잇몸질환용 치약 쓰면 나아질까요?” 🤔
사실
잇몸이 자주 붓는다는 건
이미 염증 신호일 가능성이 높습니다.
오늘은
잇몸질환용 치약이 실제로 도움이 되는 경우와
치약을 고를 때 꼭 봐야 할 기준을
정리해볼게요🙂
🤔 잇몸이 자주 붓는 이유
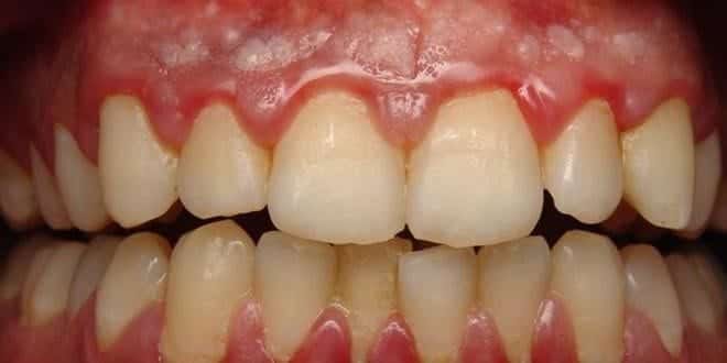
위 사진을 보시면 잇몸쪽이 빨갛게 부어오른 것을 보실 수 있습니다. 치태가 쌓여 염증을 일으키게 되면 생기게 됩니다. (출처: https://dentalexcellencegreenbay.com/)
잇몸이 붓는 가장 흔한 원인은
치은염(gingivitis)입니다.
치아 사이에 남은
플라그(plaque)와 치석이
잇몸을 계속 자극하면
붓고, 피가 나고, 빨갛게 변해요 🦷
잇몸 출혈은 ‘양치를 세게 해서’가 아니라 ‘염증’ 때문인 경우가 많습니다.
이때
치약은 보조적인 역할을 할 수 있습니다.
Colgate사에서 나온 치약인데요, 겉에보면 충치예방, 치은염예방 치약이라고 써있습니다. 이런 치약들은 과연 뭐가 다를까요? 그리고 어떤 치약을 골라야 되는걸까요? (출처: https://dailymed.nlm.nih.gov/dailymed/fda/fdaDrugXsl.cfm?setid=2f8a2d7e-a5c7-4006-b681-f2874e3a2af7&type=display)
🪥 잇몸질환용 치약, 뭐가 다를까요?
잇몸질환용 치약은
일반 치약과 달리
항염·항균 성분이 포함된 경우가 많아요.
대표적으로 👇
CPC(세틸피리디늄염화물)
트리클로산(현재는 제한적 사용)
피리독신(비타민B6)
알란토인, 판테놀
이 성분들은
잇몸 염증 완화에 도움을 줄 수 있습니다.
하지만 치약만으로 잇몸질환이 치료되지는 않습니다.
치약은 ‘치료제’가 아니라 ‘관리 보조제’입니다.
🦷 치약보다 더 중요한 것
칫솔질을 잘 하는게 무엇보다 중요합니다. 치약보다도요. 위 그림을 보고 따라해주세요. 칫솔은 잇몸쪽으로 45도 기울여주세요. 그리고 가볍에 좌우로 진동을 주신 다음, 바깥으로 쓸어주시면 됩니다. 안쪽도 같은 방법으로 하시구요, 씹는면은 앞뒤로 닦아주시면 됩니다. 자세한건 그림출처 말고 아래 블로그 글을 참고하세요(그림출처: https://marpledental.com/)
솔직히 말씀드리면요 🙂
잇몸이 자주 붓는다면
치약보다 더 중요한 건
플라그 제거입니다.
올바른 칫솔질
치실 사용
치간칫솔 사용
이 기본이 안 되면
아무리 좋은 잇몸질환용 치약을 써도
효과는 제한적이에요 😅
잇몸 붓기의 원인은 ‘세균’이고, 세균은 물리적으로 제거해야 합니다.
이미 치태가 쌓여 굳었다면, 이때는 칫솔질로는 부족합니다. 치과에서 스케일링을 받으셔야 됩니다. 치석을 기구로 깔끔하게 제거해드립니다. (출처: https://www.toothclub.co.uk/)
⚠️ 이런 경우라면 치약으로는 부족합니다
다음과 같은 증상이 있다면
치약 교체만으로는 해결이 어렵습니다.
잇몸이 계속 붓는다
피가 자주 난다
입냄새가 심해졌다 😮💨
치아가 약간 흔들리는 느낌
이 경우
스케일링이나 잇몸 치료가 필요할 수 있어요.
치약은 염증을 ‘완화’할 수는 있지만 ‘제거’하지는 못합니다.
🦷 잇몸질환은 치약보다는 칫솔질입니다 🙂
잇몸이 자주 붓는다면
잇몸질환용 치약은 분명 도움이 될 수 있습니다 🙂
하지만
치약만으로 해결되지는 않고
플라그 제거가 기본이며
필요하다면 치과 치료가 먼저입니다.
치약을 바꾸기 전에
내 잇몸 상태가 어디까지 진행됐는지
한 번쯤 확인해보는 게 가장 현명합니다 😊
서울대 윤원장이었습니다.
감사합니다 😊
👇🏻 함께 읽어보시면 좋은 글들! 👇🏻


