얼음이나 견과류 같은 걸 씹다가
“딱” 하는 느낌과 함께
뭔가 부러진 기분... 😰
거울을 보니
치아 끝이 살짝 깨져 있거나,
씹을 때마다 걸리는 느낌이 들죠.
“조금 깨진 건데 괜찮겠죠?”
이 질문, 정말 자주 듣습니다.
하지만 치아파절은
겉으로 보이는 크기보다
안쪽 손상 범위가 더 중요합니다.
🤔 겉만 깨진 걸까요? 법랑질 파절
법랑질만 깨진 경우(출처: https://en.wikipedia.org/)
가장 가벼운 경우는
치아 겉층인 법랑질(enamel)만 깨진 상태입니다.
통증 거의 없음
시림도 크지 않음
모서리가 날카롭게 느껴짐
이 경우
레진으로 간단히 다듬거나 보강하면
큰 문제 없이 회복되는 경우가 많습니다 🙂
겉면 파절은 비교적 단순하지만, 방치하면 균열이 커질 수 있습니다.
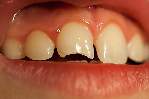
🦷 씹을 때 시리고 아프다면? 상아질 손상
법랑질에 이어 상아질까지 손상된 경우, 아래에 얇게 붉은색 치수(신경)이 비쳐보이는걸로 보아 신경까지는 진행이 안된걸 알 수 있습니다(출처: https://en.wikipedia.org/)
깨진 후
찬물에 시리고 🥶
씹을 때 찌릿하다면 😣
이미 상아질(dentin)까지 손상이 진행됐을 가능성이 있습니다.
이 단계의 치아파절은
자극에 민감하고
세균 침투 위험이 높습니다
이 시점에서 치료를 미루면 충치처럼 진행될 수 있습니다.
보통은
레진, 인레이 등으로 보강을 고려하게 됩니다.
⚠️ 가만히 있어도 욱신? 신경 손상 가능성
신경까지 손상된 경우입니다. 이 경우, 신경치료가 필요할 수 있습니다(출처: https://atlasdental.ca/dental-pulp-capping/)
깨진 뒤
가만히 있어도 통증이 지속되거나 😰
밤에 더 아프고
열감이 느껴진다면
치아 안쪽 치수(pulp)까지
손상이 갔을 가능성이 있습니다.
이 경우는
단순 보강이 아니라
신경치료가 필요할 수 있어요.
통증이 ‘잠깐’이 아니라 ‘지속적’이라면 반드시 확인이 필요합니다.
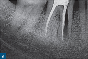
🦷 보이지 않는 균열, 더 위험한 경우
수직치근파절(VRF, Vertical Root Fracture)의 모습입니다. 진한 흰색으로 되어있는 부분이 신경치료가 된 부분인데요, 왼쪽 뿌리와는 달리 오른쪽 뿌리는 파절이 되어있는걸 보실 수 있습니다(출처: https://pocketdentistry.com/vertical-root-fractures/)
겉으로는 거의 멀쩡해 보여도
치아 뿌리에 세로로 파절(vertical fracture)이 생긴 경우가 있습니다.
이걸 수직치근파절(VRF, Vertical Root Fracture)이라고 부르는데요.
씹을 때만 아프고
힘을 빼면 괜찮아지는 특징 😖
X-ray에 잘 안 보이기도 함
이 경우 발치가 필요한 상황으로 이어질 수 있습니다 ⚠️
겉으로 보이는 크기가 아니라, ‘균열의 방향과 깊이’가 핵심입니다.
🤔 깨졌다면, 지금 당장 뭘 해야 할까요?
- 깨진 조각이 있다면 보관 🧊
- 깨진 부위로 딱딱한 음식 피하기
- 통증이 있다면 빨리 확인
치아파절은 시간이 지나면 자연 치유되지 않습니다.
특히
씹을 때 통증이 반복된다면
미루지 않는 게 가장 중요해요.
🦷 치아파절은 범위가 중요합니다 🙂
딱딱한 걸 씹다 치아가 깨졌다면
가볍게 보지 마세요 😅
- 법랑질 파절은 비교적 단순
- 상아질 손상은 빠른 보강 필요
- 신경까지 가면 치료 범위 확대
- 보이지 않는 균열은 더 위험
치아파절은 ‘얼마나 깨졌는지’보다 ‘어디까지 갔는지’가 중요합니다.
깨진 순간보다
그 이후의 판단이
치아 수명을 결정합니다 🙂
서울대 윤원장이었습니다.
감사합니다 😊
👇🏻 함께 읽어보시면 좋은 글들! 👇🏻

