스케일링 받고 거울을 봤는데
“어? 생각보다 안 하얀데…?” 😅
또 어떤 분들은 이렇게 말씀하세요.
“스케일링 하면 미백 효과도 있는 거 아닌가요?” 🤔
사실 이 질문, 진료실에서 정말 자주 나옵니다.
오늘은
스케일링과 치아미백의 차이를
헷갈리지 않게 정리해볼게요🙂
🤔 스케일링, 정확히 어떤 치료일까요?
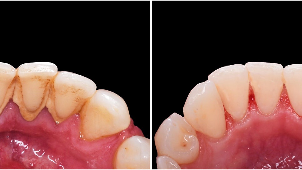
스케일링은 치아 표면에 붙은 치태나 치석을 제거해주는 치료입니다. 사진에서 보시다싶이 왼쪽 사진의 치석들이 오른쪽에서는 깨끗하게 제거된걸 보실 수 있습니다. (출처: https://dentalhealthsociety.com/)
스케일링은
치아 표면에 붙은
치석과 플라그(plaque)를 제거하는 치료입니다.
- 잇몸 염증 예방
- 입냄새 감소 😮💨
- 잇몸 건강 회복
이게 스케일링의 핵심 목적이에요.
그래서 스케일링 후에는
치아가 원래 색으로 돌아오는 느낌을 받게 됩니다 🙂
스케일링은 ‘하얗게 만드는 치료’가 아니라 ‘덮여 있던 걸 제거하는 치료’입니다.
🦷 그럼 왜 스케일링 후 하얘졌다고 느낄까요?
치석이나 착색이 심했던 분들은
스케일링 후
“와, 많이 밝아졌네요!”라고 느끼기도 해요 😄
하지만 이건
본래 치아 색이 드러난 것이지,
색 자체가 변한 건 아닙니다.
치아 색의 한계를 넘어서는 건 스케일링으로 불가능해요.
그래서
스케일링만으로
연예인처럼 밝은 톤을 기대하면
실망하게 되는 경우가 많습니다 😅
✨ 치아미백은 뭐가 다를까요?
치아 미백은 치아 내부에 스며든 색소를 분해하므로써 치아를 밝게 만드는 시술입니다. 실제로 모든분들이 위 사진처럼 되지는 않구요, 하얘지는게 아니라 살짝 밝아진다고 보시면 됩니다 (출처: https://www.robertwilcoxbuttedentist.com)
치아미백은
치아 표면과 내부에 스며든 색소를
화학적으로 분해해
치아 자체의 색을 밝히는 치료입니다.
치아 톤 자체 변화
색 단계(shade) 상승 ✨
스케일링으로 안 되는 부분 해결
즉,
치아미백은 ‘색을 바꾸는 치료’입니다.
그래서
스케일링 vs 미백을 비교하면
목적부터 완전히 다르다고 보셔야 해요 ⚖️
🦷 스케일링 vs 치아미백, 이렇게 다릅니다
스케일링과 치아미백의 차이를 나타낸 그림입니다. 애초에 둘은 치료목적이 다릅니다. 스케일링은 치아 표면의 치태를 제거해주는 치료이구요, 이를 통해 잇몸의 염증을 예방하는 효과를 줍니다. 반면에 치아미백같은 경우에는 치아 내부의 색소를 제거함으로써 치아를 한단계 더 밝게 만들어주는 치료입니다. (출처: https://beautybracedental.com.my)
많이 헷갈리시는 부분을
정리해보면 이렇습니다 🙂
스케일링 👉 치석·착색 제거
치아미백 👉 치아 색 자체를 밝힘
스케일링 👉 건강 중심 치료
치아미백 👉 심미 중심 치료
둘 중 하나만 고르는 문제가 아니라, 역할이 다른 치료예요.
실제로는
스케일링 후 치아미백을 진행하는 경우가
가장 자연스럽고 효과적입니다 😊
🤔 나는 어떤 걸 하면 될까요?
이렇게 생각해보시면 쉬워요.
잇몸이 자주 붓고, 피가 난다 😣 → 스케일링 먼저
치아 색이 전체적으로 누렇다 😬 → 치아미백 고려
커피·와인 착색이 많다 ☕️🍷 → 두 가지 병행
내 치아 상태에 따라 순서와 선택이 달라집니다.
그래서
무작정 “하얘지고 싶어요!”보다
현재 상태를 먼저 보는 게 중요해요🙂
🦷 기준을 제시해드릴게요 🙂
스케일링만으로도
치아가 깨끗해 보일 수는 있지만,
치아미백과 같은 효과를 기대하긴 어렵습니다.
- 스케일링은 건강을 위한 기본 치료
- 치아미백은 색을 바꾸는 심미 치료
이 차이를 알고 선택하면
결과에 대한 만족도도 훨씬 높아집니다 ✨
하얀 치아는
무작정 만드는 게 아니라,
내 치아에 맞게 단계적으로 접근하는 것에서 시작됩니다 🙂
서울대 윤원장이었습니다.
감사합니다 😊
👇🏻 함께 읽어보시면 좋은 글들! 👇🏻

