어느 날부터
사랑니 쪽 잇몸이 퉁퉁 붓고 😣
양치할 때마다 냄새도 나고,
하얀 고름 같은 게 보이기 시작했다면… 😰
“이거 그냥 두면 가라앉을까요?”
“잠깐 염증 생긴 거겠죠…?”
이런 상태라면
단순한 잇몸 자극이 아니라
급성 염증 신호일 가능성이 높습니다 ⚠️
오늘은
사랑니 주변 염증과 고름,
특히 급성 치주염(치관 주위염)에 대해
꼭 알아두셔야 할 포인트를 정리해볼게요.
🤔 사랑니 주변에 염증이 잘 생기는 이유
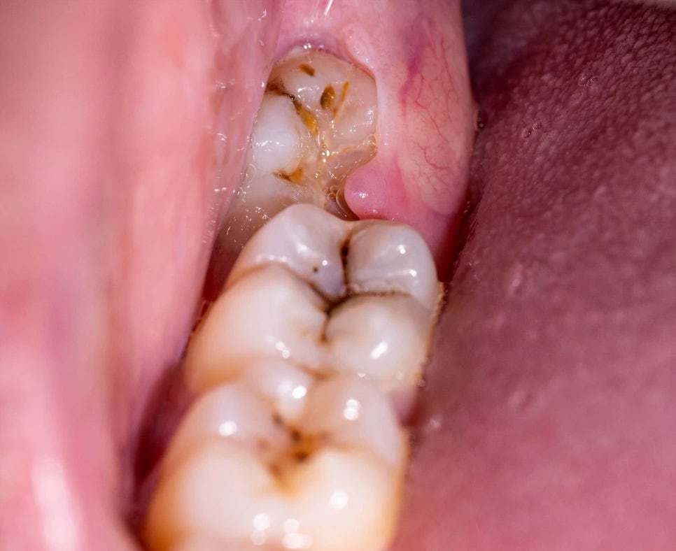
사진에서 보시다싶이 사랑니 주변에 빨갛게 염증이 생긴 경우를 자주 볼 수 있습니다. 환자분들께서 많이들 불편해하시죠 (출처: https://www.gumsurgery.com)
사랑니는
입 안 가장 안쪽에 위치해 있고,
완전히 나오지 않은 경우가 많습니다.
특히
사랑니가 부분적으로만 나온 상태에서는
잇몸과 치아 사이에
음식물과 세균이 쉽게 끼게 돼요 🤢
이 틈은
양치로도 잘 닦이지 않기 때문에
염증이 반복되기 쉬운 구조입니다.
사랑니 염증은 ‘관리 부족’이 아니라 ‘구조적 문제’에서 시작되는 경우가 많아요.
이렇게 심하게 부은 상태가 되면 이미 염증이 꽤나 진행된 상태라고 볼 수 있습니다. 치관주위염(Pericoronitis)가 생긴 경우로, 치료가 필요해요 (출처: https://en.wikipedia.org/wiki/Pericoronitis)
🦷 고름까지 보인다면, 무슨 상태일까요?
잇몸이 붓는 정도를 넘어서
👉 고름이 보인다면
이미 염증이 꽤 진행된 상태입니다 💥
이건
치관주위염(pericoronitis)이
급성으로 악화된 상태라고 볼 수 있어요.
이 단계에서는
- 통증이 심해지고 😣
- 입 벌리기 힘들어지고
- 씹을 때 더 아프고
- 심하면 열감이나 몸살 느낌까지 동반됩니다 🤒
고름은 몸이 “여기 문제 있어요!” 하고 보내는 아주 강한 신호입니다.
⚠️ 그냥 짜내거나 참으면 안 되는 이유
“고름만 빼면 괜찮아지지 않을까요?”
이렇게 생각하시는 분들도 많아요 😅
하지만
겉에 보이는 고름은
문제의 결과일 뿐,
원인은 그대로 남아 있습니다.
- 염증이 잇몸 깊숙이 퍼질 수 있고
- 인접한 어금니까지 영향을 줄 수 있고
- 반복될수록 통증은 더 심해집니다 😢
사랑니 염증은 ‘잠깐 가라앉는 것’과 ‘해결되는 것’이 다릅니다.
🤔 이런 증상이 함께 있다면 꼭 확인하세요
다음 중 몇 가지가 함께 있다면
지체하지 않는 게 좋아요 ⚠️
잇몸이 계속 붓고 가라앉지 않음
고름, 심한 입냄새 🤢
입 벌릴 때 턱까지 뻐근함
같은 부위에서 염증이 반복됨
피곤할 때마다 통증이 심해짐 😰
이런 경우
단순 소독이나 약만으로는 해결이 어렵습니다.
사랑니 주변에 염증이 생긴 경우 통증, 안면통증, 잇몸에 고름, 잇몸 부어오름 등의 증상이 생깁니다 (출처: https://www.kwcdental.com/)
🦷 치료는 어떻게 진행될까요?
상태에 따라 다르지만,
보통은 이런 순서로 접근합니다.
- 급성 염증 조절 (소독, 약물 치료)
- 염증 원인 평가 (사랑니 위치, 매복 여부)
- 반복 가능성 판단
- 필요 시 사랑니 발치 고려
엑스레이 상에서 본 사랑니의 모습입니다. 아예 사랑니가 누워있죠... 이 경우 염증이 일시적으로 사라졌다가도 다시 재발하는 경우가 흔합니다. 발치를 통해 근본적인 원인을 제거하시는걸 추천드려요 (출처: https://wesmiledental.sg/)
특히
염증이 반복되거나
고름까지 동반된 경우라면
발치를 통해 근본 원인을 제거하는 게 더 안전한 선택일 수 있어요.
🦷 이것만 기억하세요 🙂
사랑니 주변 잇몸이
붓고, 아프고, 고름까지 보인다면
그건 몸이 보내는 명확한 경고 신호입니다 ⚠️
잠깐 쉬면 괜찮아질 수도 있지만
반복될 가능성은 높고
미루면 치료는 더 복잡해집니다 😥
사랑니 문제는
아플 때보다
아프기 시작했을 때 확인하는 게 훨씬 수월합니다.
조용할 때 한 번 점검해보는 것,
그게 가장 덜 아픈 선택일 수 있어요 🙂
서울대 윤원장이었습니다.
감사합니다 😊
👇🏻 함께 읽어보시면 좋은 글들! 👇🏻

