평소엔 괜찮다가
어느 날 갑자기 잇몸이 욱신 😣
입을 벌릴 때도 불편하고,
귀나 턱까지 묘하게 뻐근한 느낌…
“충치도 없고, 양치도 잘 하는데 왜 아프지?”
이럴 때 숨어 있는 원인이 바로 매복사랑니인 경우가 많습니다.
오늘은
매복 사랑니가 왜 통증을 만드는지,
그리고 특히 조심해야 할 상황을
차분히 정리해볼게요🙂
🤔 매복 사랑니, 정확히 어떤 상태일까요?
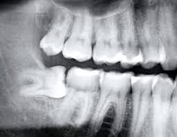
매복 사랑니란 위 엑스레이 사진처럼 잇몸 밖으로 완전히 나오지 못하고 묻혀있는 사랑니를 말합니다 (출처: https://mosmanvillagedentistry.com.au/)
매복사랑니란
사랑니가 정상적으로 올라오지 못하고
잇몸이나 뼈 속에 부분적으로 묻혀 있는 상태를 말합니다.
겉으로 보면
“아직 안 나온 것 같은데요?” 싶지만,
안에서는 이미 사랑니가
옆 치아를 밀거나 잇몸을 자극하고 있을 수 있어요.
눈에 안 보인다고 문제가 없는 건 아닙니다.
🦷 매복 사랑니가 통증을 만드는 구조
매복사랑니는
특히 부분 매복일 때 문제가 잘 생깁니다.
- 일부만 올라와 음식물이 끼고
- 그 아래로 세균이 들어가고
- 잇몸 안쪽에서 염증이 반복되죠 😥
위 그림처럼 사랑니가 나게 되면, 잇몸과 사랑니 사이에 음식물이 들어가게 되어 염증이 생기게 됩니다. 그래서 환자분들이 말씀하시는 '잇몸통증'이 생기게 되죠 (출처: https://dentalimplantindia.co.in/)
이게 바로
사랑니 주위염(pericoronitis)입니다.
그래서
✔ 씹을 때 아프고
✔ 입 벌리기 불편하고
✔ 가만히 있어도 욱신거리는 통증이 생깁니다.
통증의 원인은 치아보다 ‘주변 잇몸 염증’인 경우가 많아요.
🦷 이런 매복 사랑니는 특히 조심하세요 ⚠️
모든 매복사랑니가 다 아픈 건 아니지만,
아래 경우라면 통증 위험이 훨씬 높아집니다.
- 사랑니가 옆으로 누워 있는 경우
- 앞 어금니를 밀고 있는 경우
- 반복적으로 잇몸이 붓고 가라앉는 경우
- 입 냄새나 고름 같은 느낌이 동반될 때 😬
이 상태를 방치하면
염증이 커지고, 앞 치아까지 영향을 줄 수 있습니다.
그림과 같이 수평으로 난 사랑니같은 경우, 앞치아에 영향을 줄 수 있구요, 염증도 잘 생기는 경우가 많아 발치가 필요합니다 (출처: https://wisdomteethfactory.com/)
🤔 “지금은 안 아픈데, 그냥 둬도 될까요?”
이 질문 정말 많이 받아요 😅
통증이 없더라도
매복사랑니는
언제든지 문제가 생길 수 있는 구조입니다.
특히
피곤할 때
면역력이 떨어질 때
감기나 스트레스가 심할 때
갑자기 통증이 터지듯 나타나는 경우가 많아요.
아프기 전에 확인하는 게 훨씬 수월한 치료입니다.
🦷 발치가 필요한지, 어떻게 판단할까요?
다양한 유형의 사랑니입니다. 어떤건 꼭 빼야되는 반면, 어떤건 안빼도 됩니다. (출처: https://www.goldcoastoms.com.au)
모든 사랑니를 다 빼야 하는 건 아니지만,
다음 기준은 꼭 확인이 필요합니다.
- 염증이 반복되는 사랑니
- 앞 치아에 충치·흡수 위험이 있는 경우
- 관리가 구조적으로 어려운 매복사랑니
이런 경우라면
단순 통증 조절보다
발치를 고려하는 게 장기적으로 더 안전합니다.
사랑니 치료의 기준은 ‘지금 통증’이 아니라 ‘앞으로의 위험’이에요.
🦷 이건 꼭 기억해주시면 좋아요
매복사랑니는
가만히 있어도 문제를 만들 수 있는 치아입니다.
통증은 잇몸 염증에서 시작되고
반복될수록 범위는 커지고
결국 더 복잡한 치료로 이어질 수 있어요 😢
사랑니는
늦게 발견할수록
치료 난이도도 함께 올라갑니다.
조용할 때 한 번 확인해보는 것,
그게 가장 현명한 선택일 수 있어요🙂
서울대 윤원장이었습니다.
감사합니다 😊
👇🏻 함께 읽어보시면 좋은 글들! 👇🏻

