사랑니 때문에 아픈 건 많이 들어보셨죠.
그런데 진료실에서는 이런 질문도 꽤 자주 나옵니다.
“사랑니 때문에 옆 어금니까지 썩을 수 있나요?”
“멀쩡했던 치아인데 갑자기 충치가 생겼어요…”
결론부터 말씀드리면
사랑니는 옆 치아 충치를 실제로 유발할 수 있습니다
특히 특정 조건에서는
생각보다 높은 확률로 문제가 생깁니다.
사랑니가 옆 치아를 망가뜨리는 구조
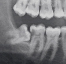
위 엑스레이 사진을 보시면 가장 오른쪽에 있는 치아가 사랑니구요, 그 앞치아가 두번째 큰어금니입니다. 두번째 큰어금니 안에 검정색으로 크게 보이는 부분이 바로 충치가 발생한 부분입니다. (출처: https://commons.wikimedia.org/)
사랑니는 보통
똑바로 나지 않고 기울어진 상태로 매복되는 경우가 많습니다.
이때 가장 흔한 형태가
👉 앞쪽으로 누워 있는 형태(근심 경사, mesioangular)입니다.
이 구조에서는
사랑니와 옆 어금니 사이에 틈이 생기고
음식물이 끼고
칫솔이 잘 닿지 않습니다
그래서 그 사이에 충치가 생기기 쉬운 환경이 됩니다.
사랑니와 옆 치아 사이는 양치가 거의 불가능한 사각지대입니다
실제로 충치가 생길 확률
위 엑스레이 사진도 첫번째 사진과 마찬가지로 사랑니에 의해서 앞 치아에 충치가 생긴 걸 보여줍니다. 사랑니가 있는 경우 앞치아의 칫솔질 관리가 잘 되지 않는 경우가 많습니다. 구조가 칫솔질이 잘 닿지 못하거든요. 그래서 충치가 잘 생깁니다. (출처: https://www.sciencedirect.com/science/article/abs/pii/S0266435613004877)
이건 단순한 가능성이 아니라
연구로도 확인된 사실입니다.
여러 연구에서
사랑니가 있는 경우
👉 옆 어금니 충치 발생이 증가하며
일부 연구에서는
👉 약 28% 환자에서 옆 치아 충치 발생
또 다른 연구에서는
👉 최대 37.5% 이상에서 충치 발견
즉
사랑니는 옆 치아 충치의 ‘실제 위험 요인’입니다
이건 많은 분들이 잘 모르시는 부분입니다. ^^
특히 위험한 사랑니 형태
사랑니 중에서도 똑바로 난 사랑니는 비교적 괜찮아요. 하지만 반쯤 나오거나 누워서 나오거나 하는 경우에는 충치 발생 위험이 훨씬 더 커집니다. 환자분 본인이 이런 형태 사랑니를 가지고 계시다면 특히나 더 관리를 잘해주셔야 하구요, 발치를 하시는것도 현명한 선택입니다. (출처: https://link.springer.com/)
모든 사랑니가 문제를 일으키는 건 아닙니다.
하지만 이런 경우는 위험도가 높습니다.
반쯤만 나온 사랑니
앞쪽으로 누워 있는 경우
잇몸에 일부 덮여 있는 경우
특히 연구에서도
👉 기울어진 사랑니에서 옆 치아 충치 발생률이 더 높다고 보고됩니다
사랑니의 ‘각도’가 옆 치아 손상 여부를 결정하는 중요한 요소입니다
단순 충치만 문제가 아닙니다
많은 분들이 충치만 생각하시는데
사실 더 중요한 문제가 있습니다.
잇몸 뼈 손상
치주염
뿌리 흡수(root resorption)
실제로 연구에서도
사랑니는 옆 치아에
👉 충치뿐 아니라 치주 손상과 뿌리 손상까지 유발 가능한 것으로 보고됩니다
사랑니 문제는 “옆 치아까지 같이 망가질 수 있다”는 점이 핵심입니다
그럼 무조건 빼야 할까요?
이 질문도 정말 많이 받습니다. ^^
결론은
무조건은 아닙니다.
하지만 다음 경우라면
발치를 고려하는 경우가 많습니다.
- 이미 음식물이 자주 끼는 경우
- 옆 치아 충치가 시작된 경우
- 반복적으로 염증이 생기는 경우
특히
옆 어금니까지 영향을 주기 시작했다면 치료 방향이 달라집니다
이때는 단순 경과 관찰보다
적극적인 판단이 필요합니다.
사랑니를 뽑아야 하는 이유: 앞 치아에 영향을 줍니다
사랑니는 단순히 “안쪽에 있는 치아”가 아니라
옆 치아 상태에도 영향을 줄 수 있는 요소입니다.
- 구조적으로 음식물이 끼기 쉽고
- 실제로 충치 발생률이 높으며
- 치주 문제까지 이어질 수 있습니다
그래서
사랑니는 “지금 괜찮은가”보다 “옆 치아에 영향을 주고 있는가”가 더 중요합니다
겉으로 멀쩡해 보여도
X-ray에서 이미 문제가 시작된 경우도 많습니다.
그래서 한 번쯤은
상태를 확인해보는 것이 좋습니다. ^^
서울대 윤원장이었습니다.
감사합니다.
👇🏻 함께 읽어보시면 좋은 글들!👇🏻

