양치질을 할 때마다
잇몸에서 피가 난다면 꽤 당황스럽습니다.
“칫솔질을 너무 세게 해서 그런 걸까요?”
“잇몸이 약해서 그런 건가요?”
진료실에서도 정말 많이 듣는 질문입니다. ^^
결론부터 말씀드리면
양치질할 때 잇몸출혈은 대부분 ‘염증 신호’입니다
단순히 칫솔질 때문이라기보다
잇몸 상태의 문제일 가능성이 더 높습니다.
양치질할 때 잇몸출혈이 생기는 이유
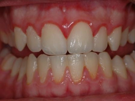
이 사진은 양치를 한 직후 환자분의 잇몸모습입니다. 피가 나고 있죠. 과연 왜 양치질을 하면 피가나는걸까요? (출처: https://www.braddondental.com.au/)
잇몸출혈의 가장 흔한 원인은
치태(plaque)에 의한 염증입니다.
치아 주변에 세균막이 쌓이면
잇몸이 붓고, 혈관이 약해지면서
조금만 자극을 받아도 출혈이 생깁니다.
실제로 연구에서도
양치 시 출혈은 잇몸 염증을 판단하는 중요한 지표로 사용됩니다.
잇몸에서 피가 난다는 것은 이미 염증이 시작됐다는 의미입니다
정말 양치질을 세게 해서 나는 걸까요
양치질을 너무 세게 하시면 사진처럼 잇몸이 패일수도 있어요. 항상 양치질은 부드럽게 하시는게 중요하구요, 잇몸으로 치아 방향으로 하셔야 됩니다. 잇몸쪽으로 양치질을 하시게 되면 잇몸이 패일 수 있어요. (출처: https://ohdental.com.au)
많은 분들이
“내가 너무 세게 닦아서 그런가?”라고 생각합니다.
물론 과도한 힘도 영향을 줄 수 있지만
핵심은 조금 다릅니다.
연구에서도
칫솔질 횟수, 시간, 구강 상태와 잇몸출혈이 관련이 있다고 보고됩니다.
즉
- 세게 닦아서 생기는 출혈이 아니라
- 이미 염증이 있는 상태에서
- 칫솔이 닿으면서 출혈이 드러나는 경우가 많습니다
양치질은 원인이 아니라 “증상을 드러내는 과정”일 수 있습니다
이 부분이 많은 분들이 헷갈리는 포인트입니다. ^^
잇몸출혈이 계속된다면 의심해야 할 상태
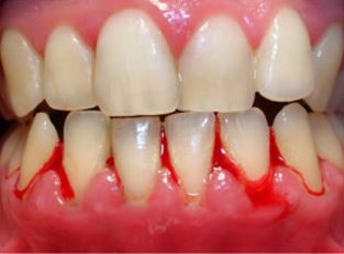
사진을 자세히 보시면 잇몸 가장자리가 빨갛게 부어있습니다. 이 상태가 지속된다면 치과치료가 필요할 수 있어요. 염증이 계속 지속된다는건 현재 치아상태에 치석이나 치태가 제대로 제거되지 않고 있다는거거든요. 그렇기 때문에 치과에 가셔서 확인하시는게 좋습니다. (출처: https://www.wahroongavalleydentistry.com.au/)
양치질할 때마다 잇몸출혈이 반복된다면
다음 상태를 생각해볼 수 있습니다.
치은염(gingivitis)
초기 치주염(periodontitis 초기)
치석 축적
특히 잇몸 질환은
초기에는 통증 없이 진행되는 경우가 많습니다.
그래서
“피만 나고 아프진 않아서 괜찮겠지”
이렇게 넘어가는 경우가 많습니다.
통증이 없어도 잇몸출혈은 질환의 초기 신호일 수 있습니다
양치질 방법도 영향을 줄 수 있습니다
양치질을 잘 하시는게 무엇보다 중요합니다 .양치질만 잘 하시면 이론적으로는 잇몸 질환이 일어나지 않아요. 치태를 100% 완벽하게 제거하실 수 있다면요. 여러가지 양치법 종류들이 있는데요, 제가 추천하는건 바로 아래 링크에 나와있으니 시간되시면 한번 읽어보시는게 좋습니다. 옆 출처 말고 아래 링크요. (사진출처: https://www.winningsmiletor.com/)
<올바른 양치법은 아래 링크에 자세히 설명해두었습니다 👇🏻>
물론 양치질 방법도 중요합니다.
잘못된 양치 습관은
잇몸 자극
잇몸 퇴축
출혈 악화
를 만들 수 있습니다.
특히
너무 강한 힘
수평으로 문지르는 습관
잇몸을 피해서 닦는 습관
이런 경우 문제가 됩니다.
올바른 양치질은 잇몸을 피하는 것이 아니라 잇몸 경계를 부드럽게 닦는 것입니다
⚠️ 이런 경우는 꼭 확인이 필요합니다
다음과 같은 경우라면
단순한 양치 문제로 보지 않습니다.
- 양치할 때마다 계속 피가 나는 경우
- 잇몸이 붓고 색이 진해진 경우
- 입냄새가 동반되는 경우
- 치실 사용 시 출혈이 심한 경우
이 경우는
스케일링이나 잇몸 치료가 필요한 상태일 수 있습니다.
잇몸출혈이 1~2주 이상 지속된다면 치과 확인이 필요합니다
양치질 하시고 피가 나신다면 우선 "이걸" 확인해보세요
양치질할 때 잇몸출혈이 생긴다면
단순히 칫솔 때문이 아니라
잇몸 염증
치태 축적
초기 치주 질환
을 먼저 생각해야 합니다.
그리고 중요한 점은
잇몸출혈은 몸이 보내는 “초기 경고 신호”라는 것입니다
그래서 피가 난다고 양치를 피하기보다는
오히려 올바른 방법으로 더 관리하는 것이 중요합니다.
이 시기에 관리하면
큰 치료 없이도 충분히 회복되는 경우가 많습니다. ^^
서울대 윤원장이었습니다.
감사합니다.
👇🏻 함께 읽어보시면 좋은 글들!👇🏻

