안녕하세요, 서울대학교 치의학대학원 출신 윤원장입니다.
아이고, 아이가 친구들과 놀다가 유치가 부러졌나요?
원래 아이들은 뛰어놀다 보면 유치가 부러지기 다반사입니다.
어른들도 가끔 술먹고 싸우시다가 영구치를 부러지셔서 오시는 경우도 많은데요, 아이들의 유치는 오죽할까요.
그래도 걱정하실 필요 전혀 없습니다.
아래 사항만 잘 지켜주신다면 충분히 다시 붙일 수 있습니다.
부러진 치아를 빨리 찾으세요. 당황하지 마시고 차분히 찾아보시는 것이 중요합니다.
치아를 찾으셨다면 수돗물로 간단히 세척하세요. 흙먼지나 이물질만 대충 제거해주시면 됩니다. 이때 주의하실 점이 너무 세게 문지르시면 안됩니다. 왜 안되는지는 아래에서 자세히 설명드리겠습니다.
치아를 수돗물, 식염수, 우유, 보호자의 혀 밑에 넣으세요. 아무거나 상관없습니다.
빨리 주변 치과로 오시면 됩니다. 보통 30분 이내에 오시도록 해주시는게 중요합니다.
이렇게만 해주신다면 치과의사 선생님께서 유치 부러짐을 치료해주실 수 있습니다.
기억하세요!
그럼 이제 궁금하신 점들에 대해 설명드릴 차례입니다.
Q1. 먼저 왜 부러진 치아를 세척할 때 세게 문지르면 안되는 걸까요?
그 이유는 바로 치근, 즉 치아의 뿌리에 있습니다.
기본적으로 유치는 계속 자라는 중이라고 보시면 됩니다. 그런데 머리가 아니라 뿌리쪽이 자랍니다.
그래서 치아의 뿌리는 계속 성장하는 조직, 줄기세포가 많이 분포되어 있습니다.
그 줄기세포들이 새로운 뿌리세포로 분화하면서 치아는 자라게 됩니다. 만약에 치아를 세게 문지르게 되면 이 세포들이 떨어져 나가게 됩니다. 치아의 성장이 멈추는 것입니다. 절대로 세게 문지르면 안됩니다.
Q2. 유치 부러짐이 발생한지 30분이 넘어서 도착하면 어떡하나요?
30분 내에 오시는 것이 가장 좋지만, 조금 늦으셔도 괜찮습니다.
단, 시간이 지날 수록 치료의 성공률이 낮아진다는 점을 알고 계셔야 합니다.
30분 이내 도착시 성공률 90%, 30분-90분 도착시 성공률 43%, 그리고 90분이 넘는 경우 성공률이 7%에 불과합니다.
시간이 지남에 따라 성공률이 급격하게 떨어지니 최소한 30분 전후로 도착하시는 것이 바람직합니다.
유치 부러짐이 발생한지 30분 이내, 기억하세요!
Q3. 유치 부러짐이 발생한 경우 보통 어떤 치료를 해주시나요?
유치 부러짐 발생시 치료를 하는 방법은 다양합니다.
크게 세가지로 나눌 수 있겠는데요, 크라운 치료, 레진 치료, 스플린트 치료가 있습니다.
복잡하게 생각하실 필요 없습니다. 간략히 어떤 치료인지 초등학생도 이해할 수 있게 설명드리겠습니다.
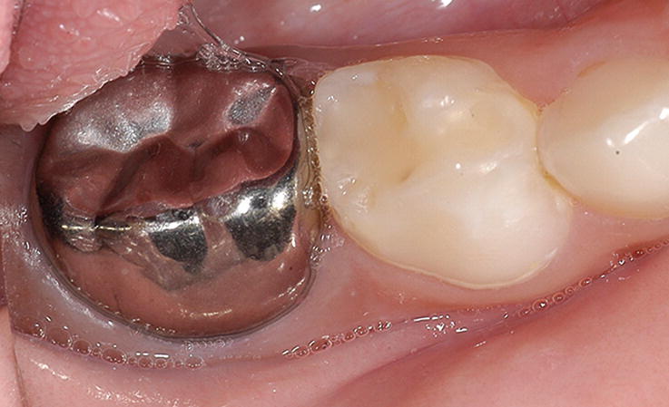
* 크라운 치료
여러분도 다 아시겠지만, 치아 위에 금속 크라운을 씌우는 방식입니다.
보통 부러짐이 매우 심한 경우에 이렇게 치료를 하구요, 왠만하면 안해도 된다고 보시면 됩니다.
* 레진 치료
레진은 재료 이름입니다. 치아색과 비슷한 재료로, 치아를 수복(대체)해주는 역할을 합니다.
부러진 치아를 만약 찾으셨다고 해도, 치아 조각을 완전히 다 찾으시지 못한 경우도 많이 발생합니다.
이때, 치아 조각을 붙이고 나서 남는 틈을 레진을 사용하여 메꿔줍니다. 치아를 붙여주는 역할도 합니다.
* 스플린트 치료
갑자기 전문용어가 나와서 당황하셨죠? 당황하지 마세요 ㅎㅎ 별거 아닙니다.
스플린트(Splint)는 부목입니다. 우리가 보통 손가락이 부러지거나 하면 부목을 대죠?
치아도 마찬가지입니다.
치아를 붙인 뒤, 일정 시간동안 부목을 대면 치아가 더 견고하게 붙게 됩니다. 이 작업을 해주는 것입니다.
이제 모든 궁금증이 풀리셨나요?
유치가 부러지면 바로 치아를 찾고, 우유나 수돗물 등에 헹구고 담아서 30분 이내에 치과로 오시는거 잊지 마세요!
늦게 오실수록 성공률이 기하급수적으로 낮아집니다 ㅠㅠ 최대한 빨리 오세요!
<함께 보시면 좋은 글>
- 어린이과잉치

