안녕하세요, 서울대학교 치의학대학원 출신 윤원장입니다.
아마 이 글을 읽고 계신 분들은 아이의 유치가 깨진 분들이시거나 다치신 분들이실 겁니다.
"어떡하지..이런적이 처음이라 뭐부터 해야되지"
"그냥 우유에 담아서 치과에 가면 되나??"
"아이가 너무 아파하는데 뭐부터 해야하지?!"
이런 상황이실 거라고 생각합니다.
일단, 당황하지 마세요.
차분한 대처가 중요합니다.
결론부터 말씀드리자면, 큰일일 수도 있고 아닐 수도 있습니다.
그렇기 때문에 유치가 깨진 즉시 치과에 가셔야 합니다.
사실 아이들은 낙상과 사고에 취약해서 유치깨짐이 발생하는 경우가 많습니다.
생후 6개월에서 6살 사이의 어린이들에게 많이 발생하죠.
유치는 특히 굉장히 중요한데요, 말하고 먹는데는 물론 영구치가 맹출할 수 있는 공간을 유지해주기 때문입니다.
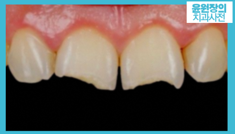
만약 어디에 부딫히거나 친구와 싸워서 유치가 깨졌다면..
우선 손상 정도를 평가해야 합니다.
치과에 가셔서 치과의사를 보셔야 되겠죠.
급하기 때문에 굳이 소아치과에 가지 않으셔도 됩니다.
아무 치과나 일단 가세요.
유치깨짐이 얼마나 심각한지가 중요한데요.
우선 치아에는 3개의 층이 있습니다.
가장 바깥인 법랑질,
중간층인 상아질,
마지막으로 치수(신경)입니다.
만약 유치가 엄청 살짝 깨졌다면,
안심하셔도 됩니다.
따뜻한 물로 해당 부위를 부드럽게 닦고 냉찜질을 해서 붓기를 가라앉히구요.
통증을 완화하기 위해 아세트아미노펜같은 일반 진통제를 먹으면 됩니다.
딱딱하고 질긴 음식은 당연히 피해주셔야 하구요.
그런데 유치가 그것보다는 조금 더 깨졌다..!
이 경우는 법랑질을 넘어 상아질까지 깨진 경우인데요.
이때는 약간의 치료가 필요합니다.
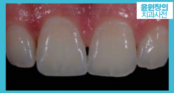
치아가 깨진 자리를 매끄럽게 다듬기도 하구요.
치과재료인 실란트나 레진으로 원래의 치아 모양을 만들어 줘야 합니다.
만약 조금 보기 흉할 정도로 깨졌다고 하면 크라운을 씌울 수도 있습니다.
조금 더 나아가 치수(신경)까지 치아가 깨졌다면
이때는 신경치료를 하셔야 됩니다.
손상된 신경을 제거하고 그 자리를 치과재료로 채워줍니다.
그리고 나서 크라운을 씌워야 합니다.
최악의 경우는 뿌리가 깨진 경우인데요.
이때는 부목(스플린트)로 치아를 고정해줘야 합니다.
치아는 살 수도 있고 실패할 수도 있는데요.
우선 경과를 지켜봐야 합니다.
만약 살릴 수 없는 경우에는 치아를 뽑고 그 자리에 장치를 달아 줍니다.
영구치가 나중에 맹출할 공간을 확보해줘야 하기 때문이죠.
무엇보다 가장 중요한 것은 치과에 빠른 시간 안에 가시는 겁니다.
유치깨짐은 생각보다 어린이들에게 흔히 발생하는 사태입니다.
그리고 그 정도에 따라 치료방법이 완전히 달라지죠.
최대한 빨리 깨짐의 정도를 파악하고 대처하는게 중요합니다.
가장 좋은 방법은 아무래도 유치깨짐이 일어나는 상황을 만들지 않는거겠지만요 ㅎㅎ
그래도 만약 발생했다면, 치과로 당장 달려가세요.
소아치과 말고 일반치과로 가셔도 됩니다.
<함께 보시면 좋은 글>
유치부러짐

