안녕하세요, 서울대학교 치의학대학원 출신 윤원장입니다.
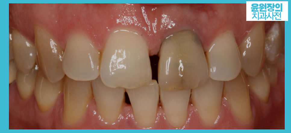
아마 이 글을 누르신 분들은 앞니가 까매지신 분들이실 겁니다.
"아 XX.. 갑자기 앞니가 왜 까매진거야?"
"도대체 어떻게 해야 되는거지 이제..?"
"뭐 큰일나는거 아닌가..."
이런 생각들을 가지고 계실거라 생각됩니다.
결론부터 말하겠습니다.
사실 이러한 경우는 크게 2가지 이유가 있습니다.
충치가 생겼거나,
아니면 외상에 의해 충격이 가해진 경우죠.
아마 어디에 부딫히셨을 가능성이 큽니다.
그럼 이제 어떻게 앞니까매짐이 일어나는지 살펴보겠습니다.
중학생도 이해할 수 있도록 쉽게 설명해두었으니 3분만 집중해주세요.
먼저 외상을 당한 경우입니다.
이 경우 어디 단단한 곳에 부딫히셨거나 딱딱한 것을 깨무셨을 가능성이 큽니다.
치아가 손상을 입어 검게 변한 것이죠.
치아 안의 혈관을 손상시켜서 혈액이 나온 케이스입니다.
그 혈액이 치아를 얼룩지게 해서 검게 변하는 겁니다.
두번째 경우는 바로 충치입니다.
충치를 치료하지 않고 방치하게 되면 치아가 검게 변할 수 있는데요.
충치가 치아를 먹어치우고 약해져서 그 안에 여러 음식물들과 이물질들이 쌓인 경우입니다.
결국 이러한 물질들이 치아를 검게 변하게 하죠.
또한 추가적으로 약물에 의한 영향도 있는데요.
테트라사이클린(모르셔도 됩니다)과 같은 일부 약물들은 치아 변색을 유발할 수 있습니다.
약물이 치아의 가장 바깥쪽 표면인 법랑질에 박혀서 검게 변하게 되기 때문이죠.
마지막으로 나이가 이유가 될 수도 있습니다....ㅜㅜ
나이가 들면 치아의 가장 바깥부분(법랑질)이 얇아지게 됩니다.
그렇게 되면 바로 아래층(상아질)이 더 잘보이게 되는데요.
상아질의 원래 색이 노란색 또는 갈색을 띱니다.
결국 치아의 색깔이 검게 보인다고 느끼실 수 있습니다.
그러면 어떻게 치료를 해야 맞는걸까요?
위에서 말씀드렸다시피 앞니까매짐 원인은 다양합니다.
그렇기 때문에 원인에 따라서 적절한 치료를 하면 되는데요.
일단 기본적으로 외상이나 충치가 발생한 경우에는 신경치료를 해야 합니다.
치아의 신경이 이미 손상되었기 때문이죠.
결국 신경치료를 통해 손상되거나 감염된 신경을 제거해야 합니다.
이후, 치아 내부를 청소하고 밀봉하는 과정을 시행하죠.
마지막으로는 보통 크라운을 씌웁니다.
간혹 신경치료를 하지 않고 바로 크라운을 씌우는 경우도 있습니다.
또다른 방법은 바로 치아 미백인데요.
미백의 경우에는 나이가 들어서 변했거나 약물에 의해 변한 경우에 쓰입니다.
치과에서 시행하는 미백치료가 있구요, 집에서도 미백치료를 할수도 있습니다.
치과치료의 경우 당연히 치과의사가 해주기 때문에
빠르고 극적인 결과를 얻을 수 있습니다.
집에서 하는 경우에는 미백 젤이 채워진 맞춤형 트레이를 사용하는 방식입니다.
매일 일정시간동안 착용하시는 방식입니다.
듣기만 해도 귀찮겠죠..
마지막 방법은 레진을 도포하는 방식입니다.
레진은 치아색이 나는 재료로 검은 부분을 이 재료로 가려주는 방식이죠.
간단합니다.
그럼 이제 앞니까매짐을 예방하는 방법을 보겠습니다.
첫째로 양치질을 잘하는건 기본입니다...ㅎㅎ
그래야 충치를 예방할 수 있겠죠.
두번째로 외상으로부터 치아를 보호하기 위해 과격한 운동을 하실 때는 마우스가드를 착용하시는게 좋습니다.
특히나 주무실때 이가시는 분들.
이분들은 스플린트라고 이갈이를 방지해주는 장치가 있습니다.
본인이 심각하게 이를 가신다..!! 하시면 꼭한번 고려해보세요.
정기적인 치과검진도 중요하구요, 설탕 많이 드시거나 탄산음료는 피해주시는게 좋습니다.
충치가 생길 수도 있기 때문이죠.
마지막으로 중요한게 바로 금연입니다.
담배 때문에 앞니까매짐이 일어나는 경우가 꽤 많습니다.
그렇기 때문에 금연 꼭 하셔서 하얗고 예쁜 치아, 오래오래 간직하시기 바랍니다.
여러분 모두 꼭 건강하고 아름다운 미소, 유지하시기 바랍니다.
저도 여러분들을 위해 최선을 다해 돕겠습니다.
<함께 보시면 좋은 글!>

