안녕하세요, 서울대학교 치의학대학원 출신 윤원장입니다.
"앞니가 누렇게 변했는데 왜이러지.."
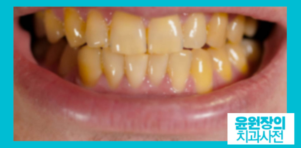
"누렁니 미백치료 굳이 받아야되나 귀찮은데"
"도대체 뭐때문에 누래진거야 원래 안그랬는데 말이야"
이런 생각을 가지신 분들이라면 오늘 글에 집중해주세요.
사실 영구치는 원래 노랗습니다.
살아알짝 노랗죠.
하지만 정상 범위보다 누런 누렁니는 변색 때문입니다.
특정 이유들 때문에 치아의 색깔이 변화한건데요.
다행히 치아 미백이나 구강습관 변화로 인해 누렁니를 다시 밝게 되돌릴 수 있습니다.
심지어는 자연적으로 살짝 노란 정도보다 더 햐얗게 할 수도 있습니다.
3분만 투자해서 읽어보세요.
여러분 각자에 맞는 치료법을 선택하실 수 있으실 겁니다.
여러분들의 치아가 누렇게 변화했다면, 다음 중에 해당하셨을 가능성이 큽니다.
불량한 구강위생
당연한 말이겠지만 양치질을 잘 하지 못하시거나 치실을 하지 않으신 경우입니다.
이렇게 되면 치아에 치석이나 치태가 많이 끼게 됩니다.
그게 많이 모이게 되면 당연히 누렇게 보일 수밖에 없겠죠.
아마 경험상으로 잘 아실 겁니다.
이런 경우에는 치료 방법이 쉽습니다.
그냥 양치질을 잘 하고 치실을 잘 쓰는거죠.
쉽지만 하기는 어려운... 이미 아실 거라 생각합니다.
근데 생각보다 효과가 큽니다.
하루 최소 2번 양치질을 하고 매일 한번이라도 치실을 사용합니다.
가글도 좋습니다.
정기적인 구강습관 형성으로도 충분히 변색을 방지할 수 있습니다.
2. 음식 및 음료
커피나 차, 아니면 짙은 색 과일 같이 색소가 많이 포함된 음식을 자주 드시나요?
이런 경우에 색소가 치아의 미세한 틈에 침착되어서 누렁니를 만들었을 가능성이 큽니다.
이 경우도 마찬가집니다.
그냥 안드시면 됩니다.
적게 드시거나요.
사람마다 특정 음료나 음식에 잘 변색이 되기 때문에요,
자신한테 잘 맞지 않는 것을 찾아 피해주시는게 중요합니다.
3. 담배
담배입니다.
담배를 피우면 치아의 색이 변합니다.
모르시는 분 없으시죠?
담배 끊으십시오.
특히 치과 영역에서 담배는 최악입니다.
4. 노화
치아는 크게 세개의 층으로 이루어져 있는데요, 겉에서부터 법랑질 -> 상아질 -> 그리고 신경(치수) 입니다.
법랑질은 흰색이지만 상아질은 노랗습니다.
나이가 들어감에 따라 치아가 마모되기 때문에 법랑질의 두께가 얇아지게 되죠.
결국 상아질의 누런색이 더 잘 보이게 되는겁니다.
죄송하지만 이건 어쩔 수 없습니다... 미백을 하시는 수밖에 없어요.
이렇게 원인들이 있었는데요, 가장 흔하게 치료할 수 있는 방법이 있습니다.
바로 치아 미백이죠.
아마 많이 들어보셨을 겁니다.
치아 미백의 원리는 생각보다 복잡하니 다음 포스팅에서 설명드리겠구요.
오늘은 미백을 받는 2가지 방법에 대해 말씀드리고 마치겠습니다.
별거 없어요.
치과가서 받으시거나,
집에서 셀프로 하시는거죠.
치과에서 미백을 받으시는걸 전문 치아 미백이라고 하는데요.
미백젤을 사용하거나 죽은 치아의 경우에는 치아 안에 표백제를 넣어서 미백을 시킵니다.
집에서 하시는 방법도 있는데요,
미백 치약이 있습니다. 젤도 있구요.
치과에서 하시는 것보다는 아마 효과가 떨어지겠지만요,
아마 "나는 미백치료까지는 받고 싶지 않아!!"
아니면
"치과에서 하면 비싸니까 그냥 집에서 간단히 할래!!"
하시는 분들에게 추천드립니다.
이렇게 오늘은 누런치아에 대해 설명드렸습니다.
본인의 치아가 누렇다면 분명 구강위생상태가 그리 좋지는 않다는 뜻입니다.
그 원인을 찾아보세요.
그리고 원인에 따라 적절한 치료를 받으시기 바랍니다.
그리고 마지막으로 당부드리겠습니다.
금연은 선택이 아닌 필수입니다....!!
<함께 보시면 좋은 글>
앞니까매짐

