양치는 분명 잘하고 있는데,
잇몸이 괜히 욱신거리고
입에서 냄새가 나는 것 같을 때…
“이거 그냥 컨디션 문제겠지?”
하고 넘기신 적 있으신가요? 😥
진료실에서는 이런 경우가 정말 많아요.
입냄새와 잇몸 통증이 동시에 있다면,
대부분 그 원인은 꽤 분명합니다.
오늘은
왜 이런 증상이 함께 나타나는지,
그리고 언제 치과에 와야 하는지
아주 쉽게 정리해드릴게요🙂
🦷 입냄새와 잇몸 통증, 함께 생기는 이유
입냄새의 가장 흔한 원인 중 하나는
바로 치석/치태입니다.
치태(plaque)는
양치 후에도 남아 있는 세균 덩어리이고,
이게 굳으면 치석(calculus)이 됩니다.
문제는 이 치석과 치태가
잇몸 가장자리에 오래 머물면서
잇몸 염증(gingivitis)을 만들고,
그 과정에서 입냄새의 원인이 되는
황화합물(VSCs)을 만들어낸다는 점이에요.
즉, 잇몸이 아프고 입냄새가 난다면
두 증상은 따로가 아니라 “같은 원인”일 가능성이 큽니다.
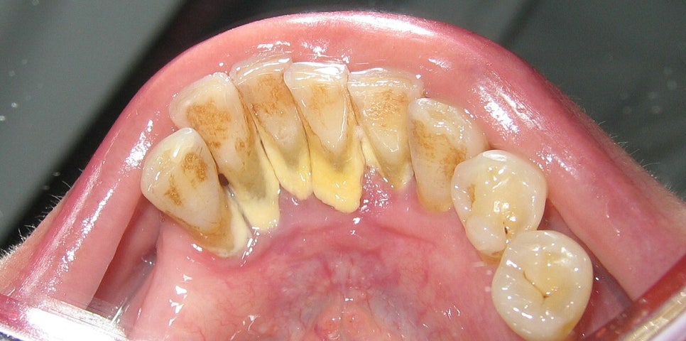
🦷 치석/치태가 쌓이면 잇몸에서 무슨 일이 생길까요?
치석은 단순한 ‘딱딱한 때’가 아닙니다.
그 표면은 울퉁불퉁해서
세균이 더 잘 달라붙는 구조예요.
그래서 치석이 있으면
잇몸이 쉽게 붓고
양치할 때 피가 나고
눌렀을 때 묵직한 통증이 생깁니다.
치태가 점점 쌓여 굳으면 치석이 됩니다. 그 치석은 표면이 울퉁불퉁하고 혐기성 성질을 띠어서 세균이 서식하기 좋은 환경이 되죠. (출처: https://www.thomsonmedical.com)
이때 잇몸 속에서는
염증 반응이 계속 일어나고,
그 부산물이 바로 입냄새로 이어져요.
치석이 많을수록 입냄새가 심해지는 이유입니다.
🦷 이런 입냄새는 ‘양치로 해결되지 않습니다’
많은 분들이
“양치 더 열심히 하면 괜찮아지겠지”
라고 생각하시는데요^^
아래 상황이라면
양치만으로는 거의 해결이 안 됩니다.
- 양치해도 몇 시간 지나면 다시 나는 입냄새
- 잇몸에서 피가 자주 남
- 잇몸이 간질거리거나 욱신거림
- 특정 부위에서만 냄새가 올라오는 느낌
이 경우는
이미 치석/치태 + 잇몸 염증이
잇몸 안쪽까지 진행된 상태일 가능성이 높아요.
입냄새는 ‘청결 문제’가 아니라
‘염증 신호’일 수 있습니다.
입냄새가 생기는 원리를 나타낸 그림입니다. 치석이나 혀의 돌기에 있는 그람음성 혐기성균의 효소를 통해서 아미노산을 황화합물(VSCs)로 만들어 입냄새가 나게 됩니다. (출처: https://doi.org/10.3390/ijerph191811303)
🦷 언제 치과에 가야 할까요?
다음 중 하나라도 해당된다면
치과 검진을 권해드립니다🙂
- 입냄새가 2주 이상 지속될 때
- 잇몸 통증이 반복될 때
- 스케일링한 지 1년 이상 지났을 때
- 아침뿐 아니라 하루 종일 입냄새가 느껴질 때
이럴 때 필요한 건
단순한 양치 지도가 아니라
스케일링 + 잇몸 상태 평가입니다.
초기 잇몸 염증은
스케일링만으로도 충분히 회복될 수 있지만,
방치되면 치주염으로 진행될 수 있어요.
치주염은 회복이 아니라 ‘관리의 영역’이 됩니다.
⛵️ 조금은 이런 이야기를 드리고 싶어요
입냄새 때문에
사람과 대화할 때 괜히 거리 두게 되고,
잇몸 통증 때문에 식사도 신경 쓰이고…
이런 불편함은 생각보다
일상을 많이 갉아먹습니다.
다행인 건,
치석과 잇몸 염증은 조기에 발견하면
충분히 되돌릴 수 있다는 점이에요🙂
몸은 늘 회복하려는 방향으로 움직이고 있고,
그 흐름을 방해하는 원인만 제거해주면
생각보다 빨리 편해집니다.
그 과정을 옆에서 정확히 안내해드리는 것,
그게 제가 환자분들께 드릴 수 있는
가장 현실적인 도움이라고 생각합니다💡
서울대 윤원장이었습니다.
감사합니다 😊
👇🏻 함께 읽어보시면 좋은 글들!👇🏻

