안녕하세요, 서울대학교 치의학대학원 출신 윤원장입니다.
"이빨이 욱신거리는데 충치인걸까...? 충치인지 아닌지 궁금해"
"치과갔다왔는데 충치도 없다는데 왜 욱신거리는거지?"
"계속 욱신거리는건 아니고 그랬다 안그랬다 반복돼. 이것도 원래 정상인가...?"
이런 고민이 계시다면 오늘 글에 주목해주세요.
정답부터 말씀드리겠습니다.
이빨이 욱신거리는 경우와 잇몸이 욱신거리는 경우를 구분하셔야 합니다.
이빨욱신거리는 경우 정말로 이빨에 문제가 있는겁니다.
대부분의 경우 충치가 생긴거죠.
하지만 잇몸이 욱신거리는 경우는 다릅니다.
이때는 잇몸(치주)에 문제가 생긴겁니다.
치주염이라고도 하죠.
이 둘을 잘 구분하시는 것이 핵심입니다.
딱 3분만 집중해주세요.
둘을 구분하시는 방법에 대해 완벽히 이해하실 수 있게 되실겁니다.
먼저 치아가 욱신거리는 경우는 충치가 진행된 경우인데요.
보통 충치가 생기기만 한다고 해서 욱신거리지 않습니다.
꽤 많이 진행되어야 하죠.
치아는 총 3개의 층으로 구성되어 있습니다.
가장 바깥층인 법랑질, 그 아래의 상아질이 있구요.
제일 안쪽에는 치수(신경)이 위치해있습니다.
충치도 얼마나 진행되었느냐에 따라 구분을 할 수 있습니다.
법랑질까지 진행된 경우,
상아질까지 진행된 경우,
그리고 치수까지 진행된 경우로 나눌 수 있죠.
그리고 각각에 따라 증상이 다르게 나타납니다.
물론 더 깊이 진행될수록 아프겠죠.
법랑질까지 진행된 경우는 사실 별로 증상이 없습니다.
하지만 상아질까지 진행되면 다르죠.
상아질은 간접적으로 치수(신경)과 연결되어 있습니다.
상아질은 여러개의 미세한 관들로 구성되어 있는데요,
이 미세한 관들 속에는 액체가 차있습니다.
그리고 통증이나 자극이 오게 되면 이러한 액체가 움직이면서,
가장 안쪽의 치수를 자극하는 겁니다.
결국, 통증이 발생합니다.
시리거나 욱신거리는 느낌이 날 수도 있구요.
마지막으로 치수까지 진행된 경우입니다.
급성치수염이라고도 불리는데요.
이때는 정말 통증이 심합니다.
참을 수 없을 만큼 심하기 때문에 보통 이런 경우는
너무 아파서 스스로 치과에 찾아오시는 경우가 대부분입니다.
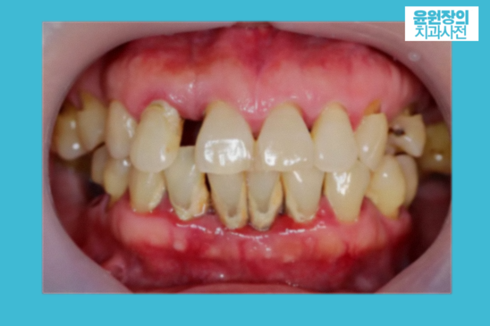
그러면 잇몸이 욱신거리는 경우는 어떤 경우일까요?
치주염이라고 혹시 들어보셨나요?
말그대로 치주(잇몸)에 염증이 생긴 건데요,
감기와 더불어 우리나라에서 많이 발병하는 질환 중 하나입니다.
그만큼 여러분도 이미 가지고 계실 가능성이 크다는 뜻입니다.
치주염에 대해서는 다른 포스팅에 쉽고 정확하게 정리해두었으니 참고해주세요.
치주염은 보통 잇몸이 붓거나, 치아가 들뜬 듯한 느낌이 듭니다.
반대로 이빨욱신의 경우에는 시린 증상이 동반되죠.
치료방법도 완전히 다릅니다.
잇몸욱신, 즉 치주염의 경우에는 스케일링같은 잇몸치료를 받으셔야 합니다.
잇몸에 치석이나 치태가 원인이니까요.
반대로 이빨욱신의 경우에는 수복치료를 받으셔야 합니다.
레진으로 때우시거나 신경치료를 하시고 크라운을 하시는게 필요합니다.
물론 상태에 따라 다르겠지만요.
그래도 만약 본인의 상태가 심하시거나
이빨욱신인지 잇몸욱신인지 잘 모르시겠다면...!!
주변의 치과에 방문하시는 것을 강력히 추천드립니다.
모든 병은 초기에 발견하는 것이 중요합니다.
그래야 아프기도 덜하고 치료도 쉽고 저렴하죠.
그렇게 하기 위해서는 주기적인 검진, 필수적인거 아시죠?
<함께 보시면 좋은 글>
잇몸욱신

