안녕하세요, 서울대학교 치의학대학원 출신 윤원장입니다.
혹시 올해 스케일링은 받으셨나요?
스케일링이 연 1회 보험이 되는 진료인 것은 알고 계셨나요?
단돈 만원에 받으실 수 있습니다.
만약 위 두 질문에 대한 대답이 NO 시라면,
안타깝지만 높은 확률로 여러분은 나중에 치아 때문에 평생 고생하실 것 같습니다.
물론 스케일링이 썩 마음에 들지 않으시는 분들도 계실 겁니다.
뭔가 아프고, 왜 하는지 잘 모르겠고, 귀찮고... 여러 이유들이 있으시겠죠.
아마 이런 얘기를 하시는 분도 계실 겁니다.
스케일링을 받았더니 치아가 시리던데?
스케일링하니까 왜 갑자기 잇몸이 아프지?
왜 내 경우는 스케일링이 보험이 안되는거지?
이해합니다.
하지만 결론부터 말하자면 스케일링에게는 아무 잘못이 없습니다.
오히려 여러분들의 치아를 건강하게 만들어줄 뿐이지요.
스케일링을 받고 나서 시린 것은 순전히 여러분의 구강상태에 문제가 있어서입니다.
지금부터 약 3분만 집중해서 읽어보세요.
스케일링에 관한 여러분들의 궁금증이 순식간에 풀릴 겁니다.
그리고 여러분의 치아건강 역시 급상승하실거라고 확신합니다.
자, 시작하겠습니다.
스케일링이란?
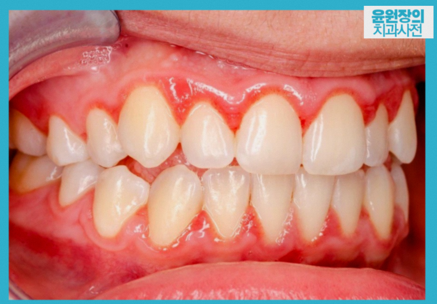
스케일링은 치아 표면과 잇몸선 아래에서 치석, 치석 및 기타 파편을 제거하기 위해 치과의사나 치위생사가 수행하는 치료입니다.
치태라고도 불리는 플라크는 치아에 형성되는 끈적끈적한 세균막입니다.
그래서 정기적으로 제거하지 않으면 충치, 잇몸질환 및 구취를 유발할 수 있죠.
치석은 플라크와는 다릅니다.
단단하기 때문에 칫솔질이나 치실 사용만으로는 제거할 수 없고 치과의사나 치위생사가 특수 기구를 사용하여 제거해야 합니다.
스케일링이 필요한 이유는?
스케일링이유는 바로 구강 건강을 유지하고 잇몸 질환을 예방하기 위해 필요하기 때문입니다.
잇몸 질환의 초기 단계는 치은염이라고 하며 적절한 구강 위생과 정기적인 양치질을 통해 되돌릴 수 있습니다.
치은염을 치료하지 않으면 더 심각한 형태의 잇몸 질환인 치주염으로 진행될 수 있는데요.
치아가 나중에 빠지거나 다른 건강문제로 이어질 수 있는 질환입니다.
잇몸 질환을 예방하는 것 외에도 스케일링은 치아 표면 얼룩을 제거할 수도 있구요.
구취를 유발하는 박테리아를 제거하여 입냄새를 상쾌하게 할 수도 있습니다.
스케일링은 어떻게 하는건가요?
스케일링은 기본적으로 치과의사나 치위생사가 특수 기구를 사용해서 치아 표면과 잇몸선 아래에서 플라그와 치석을 제거합니다.
표면 얼룩을 제거하고 치아 표면을 매끄럽게 하여 플라그와 박테리아가 달라붙기 어렵게 만드는 치아 연마도 포함될 수 있습니다.
그럼 스케일링이 통증이나 불편함을 유발하는 이유는 무엇일까요.
스케일링은 일반적으로 통증을 주는 치료가 아닙니다.
그런데 일부 환자들은 치료 중이나 후에 불편함이나 민감함을 경험합니다.
이는 플라크와 치석을 제거하는 데 사용되는 도구가 잇몸에 약간의 자극을 유발할 수 있기 때문입니다.
특히 치석이 상당히 축적되었거나 환자의 잇몸이 민감한 경우 더욱 그렇습니다.
경우에 따라서 환자는 치료 후 잇몸에 약간의 출혈이나 압통을 경험할 수도 있습니다.
하지만 걱정하지 마세요.
이것은 플라크와 치석 제거에 대한 정상적인 반응이며 며칠내 해결됩니다.
만약 치석이 비교적 많이 있던 분들이라면, 이미 염증 때문에 잇몸이 부어있던 상태가 많습니다.
그래서 스케일링 이후 붓기가 빠지게 되면 치아 사이가 벌어졌다고 느껴지기도 하구요. 잇몸이 내려갔다고 느끼실 수도 있습니다.
하지만 있던 치석이 제거되고 염증이 가라앉은 것 뿐이니 우려하지 않으셔도 됩니다.
그럼 불편함을 줄이기 위해서는 어떻게 할까요?
치과의사에게 알립니다.
우선 치과의사에게 말하세요. 기술을 조정하거나 추가적인 마취를 진행하실 수도 있구요, 통증을 완화시켜주실 겁니다.
평소에 구강관리를 잘 합니다.
평소에 좋은 구강위생관리(하루 두 번 칫솔질, 매일 치실 사용, 항균 구강청결제)를 실천하면 됩니다.
딱딱하거나 매운 음식은 피합니다.
스케일링 후 며칠 동안은 잇몸을 자극하거나 불편함을 유발할 수 있는 단단하거나 매운 음식을 피하는 것이 가장 좋습니다.
냉찜질 사용
스케일링 후 잇몸이 붓거나 압통이 있는 경우 냉찜질을 사용하여 염증을 줄일 수 있습니다.
진통제 복용
이부프로펜이나 아세트아미노펜(타이레놀)과 같은 진통제를 복용하면 조금 나으실 겁니다.
스케일링이유는 구강 건강을 유지하고 잇몸 질환을 예방하는 중요한 절차입니다.
치료 중이나 후에 약간의 불편함이나 민감성을 유발할 수 있지만, 이는 플라크와 치석 제거에 대한 정상적인 반응입니다.
환자는 올바른 구강위생실천, 단단하거나 매운 음식 피하기, 냉찜질 사용, 진통제 복용 등으로 불편함을 줄일 수 있습니다.
또한 이렇게 함으로써 잇몸의 치유도 촉진됩니다.
솔직히 치과의사로써 스케일링이 환자들에게 불편할 수 있고 아프다는 것을 잘 압니다. 스케일링이유가 많음에도 말이죠.
하지만 더 심각한 문제를 예방하기 위해 미리 예방하는 것이 중요합니다.
참고로 보험 스케일링 1회 이후 추가적인 치주치료를 시행하게 되면 보험이 되지 않는다는 점 기억해주세요.
만약 스케일링이유에 대해 우려하시는 점이나 질문이 있으신 경우 댓글로 남겨주세요.
치과의사들은 항상 환자분들이 최상의 치료를 받을 수 있도록 돕고 노력한다는 점도 잊지 마셨으면 좋겠습니다!
<함께 보시면 좋은 글>
스케일링

