크라운 치료를 한 지
몇 달, 혹은 몇 년이 지났는데
어느 날부터 그 주변 잇몸이 괜히 붓는 느낌 😣
양치할 때 피가 나기도 하고,
가끔 욱신거리는 것 같기도 해서
“피곤해서 그런가...?” 하고 넘기게 됩니다 😅
하지만
크라운 주변 잇몸 붓기는
그냥 컨디션 문제로 보기 어려운 신호일 수도 있습니다 ⚠️
오늘은
크라운 주변 잇몸 염증과 붓기,
특히 경계부 확인이 왜 중요한지를
차분히 정리해볼게요🙂
🤔 크라운 주변 잇몸, 왜 붓는 걸까요?
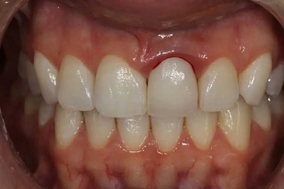
위 사진을 보세요. 크라운과 잇몸이 만나는 부분에 잇몸이 많이 부었죠? 왜 이런 현상이 발생하는걸까요. 경계는 치과에서 아주 중요한 부분입니다. 경계가 얼마나 잘 만들어졌냐에 따라 환자의 예후에 큰 영향을 줍니다. (출처: https://www.doccheck.com)
크라운은
자연치아 위에 씌워지는 보철물이기 때문에
치아와 크라운이 만나는 경계부(margin)가 생깁니다.
이 경계가
너무 깊거나
들떠 있거나
미세한 틈이 있으면
그 부위에
플라그와 세균이 쌓이기 쉬워요 🦷
잇몸은 이 작은 자극에도 바로 반응하는 조직입니다.
그래서
겉으로는 크라운이 멀쩡해 보여도
잇몸 쪽에서 먼저 신호가 나타나는 경우가 많아요.
🦷 이런 잇몸 붓기, 단순 염증일까요?
물론
일시적인 잇몸 염증일 수도 있습니다 🙂
양치가 잠시 소홀해졌거나
스케일링 시기가 지난 경우
몸이 많이 피곤한 상태 😴
심한 경우 잇몸이 붓는걸 넘어 피까지도 나는 경우가 있습니다. 크라운 문제인지, 잇몸의 문제인지 궁금하시죠? 거기만 그런지 다른 일반 치아들도 그런지 비교해보시면 됩니다. 당연한 말이지만 만약 크라운 주위만 그렇다면, 그건 크라운의 문제일 가능성이 큽니다. (출처: https://www.drscottfroum.com/)
이럴 때도
잇몸이 붓고 피가 날 수 있어요.
하지만
항상 같은 크라운 주변만 반복적으로 붓는다면
단순 잇몸 문제로만 보긴 어렵습니다 ⚠️
🦷 경계부 문제가 있을 때 나타나는 신호들
이런 느낌이 함께 있다면
한 번쯤은 확인이 필요해요 🤔
- 크라운 주변 잇몸만 유독 붓는다
- 양치하면 그 부위에서 피가 난다 🩸
- 냄새가 나는 느낌이 든다 😮💨
- 눌렀을 때 묘하게 불편하다
이 경우
크라운 경계부에 세균이 머물고 있을 가능성이 있습니다.
문제는 크라운 ‘겉’이 아니라 ‘경계’에 숨어 있는 경우가 많아요.
🤔 그냥 잇몸치료만 하면 해결될까요?
이 질문도 정말 자주 나옵니다 😅
결론부터 말씀드리면,
원인에 따라 다릅니다.
단순한 잇몸 염증 👉 스케일링·관리로 호전 가능
경계부 적합 문제 👉 잇몸치료만으로는 한계
경계가 맞지 않는 상태라면
아무리 잇몸치료를 해도
염증은 반복될 수 있어요 😥
잇몸은 결과이고, 원인은 크라운일 수 있습니다.
🦷 이런 경우엔 재평가가 필요합니다 ⚠️
다음과 같은 상황이라면
크라운 상태를 다시 보는 게 좋아요.
- 잇몸 붓기가 오래 지속될 때
- 염증이 가라앉았다가 반복될 때
- 크라운을 한 지 꽤 시간이 지났을 때
- 엑스레이에서 경계가 불분명할 때
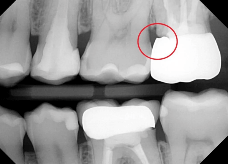
크라운의 엑스레이 사진입니다. 엑스레이 사진에서 크라운은 다른부분보다 하얗게 보입니다. 빨간색 동그라미 부분을 보시면 치아와 크라운 사이에 틈이 있는걸 볼 수 있습니다. 검정색 부분이죠. 엑스레이에서 검정색 부분은 빈 공간이라는 겁니다. 이처럼 크라운과 치아 사이에 적합도가 떨어지게 되면 그때 문제가 발생하게 되는겁니다. (출처: https://atlasdental.ca/)
이때는
크라운을 유지할지,
조정하거나 교체할지
차분한 판단이 필요합니다 🦷🙂
🦷 정리해보면요 🙂
크라운 주변 잇몸 붓기는
“양치 좀 더 잘하면 되겠지”로
넘길 수 있는 신호가 아닐 수도 있습니다.
잇몸은 먼저 반응하고
문제는 경계부에 숨어 있고
초기에 확인하면 해결은 훨씬 수월해집니다
크라운치료는
씌우는 순간보다
그 이후의 시간이 더 중요합니다 ⏳
잇몸이 보내는 작은 신호를
조금만 더 귀 기울여 보셔도
큰 문제를 막을 수 있어요 🙂
서울대 윤원장이었습니다.
감사합니다 😊
👇🏻 함께 읽어보시면 좋은 글들! 👇🏻

