크라운 치료를 앞두고
이런 질문, 정말 자주 나옵니다.
“크라운 하면 신경치료는 무조건 하는 거죠?” 😥
“안 아픈데도 신경을 빼야 하나요?” 🤔
결론부터 말씀드리면,
크라운치료 = 신경치료 필수는 아닙니다.
오늘은
크라운치료를 할 때 신경치료가 필요한 경우와
굳이 하지 않아도 되는 경우를
기준 중심으로 정리해볼게요🙂
🤔 크라운 치료의 목적부터 짚어볼게요
크라운을 하기 위해서 치아를 삭제한 모습입니다. 이 상태에서 크라운을 씌우게 됩니다. (출처: https://blog.ddslab.com/)
크라운은
깨지거나 약해진 치아를
전체적으로 덮어 보호하는 치료입니다 🦷
씹는 힘 회복
치아 파절 방지
형태와 기능 유지
이게 크라운치료의 핵심이에요.
크라운의 목적은 ‘신경을 제거하는 것’이 아니라 ‘치아를 보호하는 것’입니다.
🦷 그럼 신경치료는 언제 필요할까요?
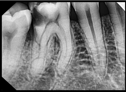
위 치아를 보시면 치아가 손상되어 신경까지 침범한걸 보실 수 있습니다. 이렇게 이미 신경이 손상된 경우, 신경치료가 필요합니다. (출처: https://www.researchgate.net)
신경치료는
치아 안쪽의 신경(치수, pulp)이
이미 손상되었을 때 필요합니다 ⚠️
대표적인 경우는👇
- 충치가 아주 깊어 신경 가까이 간 경우
- 씹을 때 통증이 지속되는 경우 😣
- 찬/뜨거운 자극에 통증이 오래 남는 경우
- 이미 신경이 감염된 경우
이런 상태에서
신경치료 없이 크라운만 씌우면
나중에 통증이 생겨 다시 뜯어내야 할 가능성이 큽니다 😥
🤔 안 아픈데도 신경치료를 권유받는 이유
“전혀 안 아픈데요?”
이렇게 말씀하시는 분들도 많아요 😅
하지만
신경은 서서히 손상되다가
갑자기 증상이 나타나는 경우도 있습니다.
특히
충치가 아주 깊은 경우
과거에 통증이 있었다가 사라진 경우
이럴 땐
겉으로는 괜찮아 보여도 신경이 이미 약해진 상태일 수 있어요.
통증이 없다고 신경이 건강하다는 뜻은 아닙니다.
🦷 반대로, 신경치료 없이 크라운이 가능한 경우도 있어요
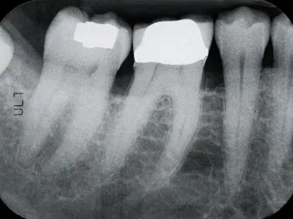
위 엑스레이 사진을 보시면 신경치료가 되어있지 않은데도 크라운이 씌워진 모습을 보실 수 있습니다 .이런 치료도 가능합니다. 상황에 따라 다르게 되죠. 참고로 신경치료가 되어있는 치아는 엑스레이 사진을 찍었을때 신경부분이 검은색이 아닌 흰색으로 보이게 됩니다 (출처: https://www.dentistinpicorivera.com/)
다행히
모든 크라운치료가
신경치료를 동반하는 건 아닙니다 🙂
- 충치가 깊지 않은 경우
- 신경과 충분한 거리 확보
- 자극 검사에 정상 반응
- 통증 증상이 전혀 없는 경우
이런 조건이 맞으면
신경을 살린 채로
크라운을 씌울 수 있어요 🦷✨
자연 신경을 유지하는 건 언제나 큰 장점입니다.
⚠️ “미리 신경치료 하면 안전하지 않나요?”
이 질문도 꼭 나옵니다 😅
결론은
불필요한 신경치료는 추천하지 않습니다.
신경을 제거한 치아는
수분이 줄고
시간이 지나며 더 약해질 수 있고
파절 위험도 높아집니다 💥
신경치료는 ‘예방 차원’으로 하는 치료가 아닙니다.
필요할 때 정확히 하는 게
가장 안전한 방법이에요.
🦷 크라운 = 신경치료는 아닙니다 🙂
크라운치료를 한다고 해서
무조건 신경치료를 해야 하는 건 아닙니다.
신경이 이미 손상된 경우 👉 신경치료 필요
신경이 건강한 경우 👉 보존 가능
중요한 건
“크라운이냐, 신경치료냐”가 아니라
지금 치아 상태에 맞는 선택입니다.
치아 치료는
많이 하는 게 좋은 것도,
적게 하는 게 정답인 것도 아닙니다.
필요한 만큼,
딱 그만큼 하는 것.
그게 가장 좋은 치료라고 생각합니다 🙂
서울대 윤원장이었습니다.
감사합니다 😊
👇🏻 함께 읽어보시면 좋은 글들! 👇🏻

