크라운 치료를 받고 나서도
🥶 찬물, 뜨거운 자극에 시리거나
😣 씹을 때 불편감, 통증이 있다면
“이게 정상인가요...?”
라는 질문을 많이 받습니다.
사실,
‘크라운 후 시림, 통증’은
정상 범위와 문제 신호가 섞여 있는 상태라서
그 경계를 아는 게 핵심입니다.
크라운 후 시림·통증, 이건 정상입니다 😅
크라운을 한 직후에는 작은 자극으로도 시릴 수 있어요. 적응 과정이 필요합니다. (출처: https://www.smilemontreal.com/)
✔ 법랑질 일부 제거로 인한 신경 자극
✔ 보철 적응 과정
이 두 가지로 인해
초기에는 찬물, 뜨거운 자극에 더 예민해질 수 있어요.
✔ 찬물·뜨거운 자극에 순간적으로 시림
✔ 가벼운 불편감이 간헐적으로
✔ 보철 적응 기간(보통 2~4주)
이 정도면 보통 정상적인 적응 과정입니다🙂
초기에 느끼는 시림, 통증은 ‘신경의 잔존 자극’으로, 시간이 지나면 대부분 사라집니다.
이런 느낌이면 정상 범위 👍
✔ 찬물·음료가 닿을 때만 순간적으로 짧게 시림 🥶
✔ 가만히 있을 땐 괜찮고
✔ 시간이 지날수록 빈도·강도가 줄어드는 패턴
✔ 씹을 때 딱딱한 음식 제외하면 통증 없음
치아가 새로운 보철물과 적응해가는 시간으로 볼 수 있어요.
하지만 이런 경우라면 문제일 수 있어요 😬
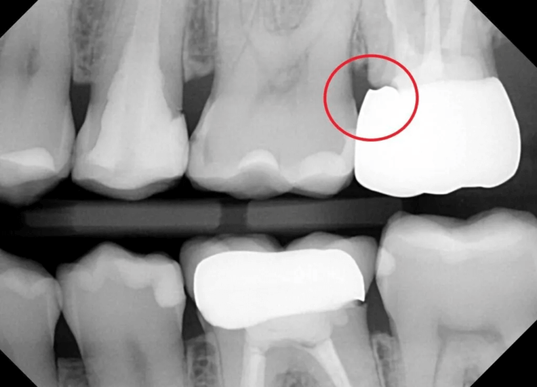
사진의 빨간 원 안을 보시면 크라운과 뿌리쪽에 틈이 있는걸 알 수 있습니다. 이 경우 문제가 됩니다. 치과에 방문하셔서 확인하시는게 좋습니다.(출처: https://atlasdental.ca/dental-crown-open-margin/)
아래 증상이 있다면
단순 적응 범위를 넘어선 신호입니다:
❗ 2주 이상 시림, 통증이 사라지지 않음
❗ 자극 없이도 통증이 지속됨
❗ 씹을 때 강한 욱신/찌릿함
❗ 밤에 통증이 자주 발생
❗ 잇몸 붓기, 열감이 동반되는 경우
이런 상황은
시림, 통증이 ‘정상 적응’이 아니라
치아 내부 혹은 교합, 보철 문제로 이어진 경우이에요.
🦷 3대 문제 원인 & 설명
🔹
① 신경 혹은 뿌리 염증
기존 충치나 자극으로 인해 신경이 이미 민감해진 상태가 숨어 있을 수 있음
찬·뜨거운 자극만 아니어도 욱신
가만히 있어도 지속 통증
→ 신경 조직 자체가 자극받은 경우
👉 이 경우 재신경치료가 필요할 수 있습니다.
🔹
② 교합(씹는 힘) 문제
교합이 너무 강한 경우, 즉 씹는 힘이 과도하게 되면 문제가 발생할 수 있습니다. (출처: https://www.gardensdentalcentre.com)
크라운 높이나 맞물림이 안 맞아서
특정 부위에 과도한 압력이 지속돼
교합 과부하가 통증을 유발
하는 경우예요.
✔ 씹을 때만 불편함
✔ 특정 방향으로만 아프다
→ 교합 재조정이 필요할 수 있습니다.
🔹
③ 미세 틈, 접착 문제
크라운과 치아 사이 작은 틈으로 세균이 침투하면, 그 틈이 시림·염증의 원인이 됩니다.
시간이 지나며 틈 생김
시린 느낌이 점점 증가
→ 2차 문제로 발전 가능성
이 경우엔
크라운 적합 상태 확인이 필요합니다.
정상 vs 문제 신호 한눈에 👇
|
항목 |
정상 반응 |
문제 신호 ⚠️ |
|
시림 강도 |
가벼움 |
강함 |
|
지속 기간 |
1–2주 정도 |
2주 이상 |
|
통증 상황 |
자극 시 |
자극 없이도 통증 |
|
씹을 때 |
가벼움 |
지속적/심함 |
|
동반 증상 |
없음 |
잇몸 붓기, 열감 |
시림, 통증은 정상 적응과 문제 신호의 경계가 분명합니다
“언제까지 괜찮다”가 아니라
“어떤 느낌이면 확인해야 할지”가 중요해요 👍
🦷 지금 당장 어떻게 관리하면 좋을까요?
✔ 초반엔 과도한 자극(찬·뜨거운) 피하기
✔ 과도한 씹는 힘을 분산
✔ 필요 시 교합 재조정
✔ 2주 이상 지속 시 치과 확인 ⚠️
초기 적응과 문제가 생긴 경우는 ‘기간’, ‘강도’, ‘패턴’으로 구분할 수 있습니다.
크라운하시고 아프시다면 이걸 체크해보세요 😊
크라운치료 후
시림, 통증이 있는 건 그 자체로 문제가 아닐 수도 있지만,
기간, 강도, 상황을 보면
정상인지 문제인지 구분할 수 있어요.
✔ 가벼운 적응 시림 → 대체로 정상
✔ 자극 없이 지속되는 통증 → 전문가 확인 필요
치아는
“아플 때”보다
이상 신호가 생겼을 때 살펴보는 게 훨씬 수월합니다🙂
서울대 윤원장이었습니다.
감사합니다 😊
👇🏻 함께 읽어보시면 좋은 글들! 👇🏻

