인비절라인 상담을 하면
가장 먼저 나오는 질문이 있습니다.
“인비절라인 치료기간은 보통 얼마나 걸리나요?”
“저는 빨리 끝나는 케이스인가요?”
진료실에서도 정말 많이 듣는 질문입니다. ^^
결론부터 말씀드리면
인비절라인 치료기간은 평균이 있지만, 개인에 따라 꽤 크게 달라집니다
그래서 오늘은
인비절라인 치료기간이 어떻게 결정되는지
핵심만 정리해보겠습니다.
인비절라인 치료기간, 평균은 어느 정도일까
평균적으로 보면 인비절라인 치료기간은 1년에서 1년반정도 걸립니다. 물론 환자분마다 편차는 있습니다. (출처: https://www.toothclub.co.uk/)
보통 인비절라인 치료기간은
약 최소 6개월 ~ 최대 2년 정도로 생각하시면 됩니다.
가장 흔한 구간은
👉 12~18개월 정도입니다.
간단한 경우라면 6개월 내외로 끝나기도 하고
복잡한 경우는 2년 이상 걸리기도 합니다.
인비절라인 치료기간은 “평균은 있지만 고정된 기간은 아닙니다”
왜 치료기간이 사람마다 다를까
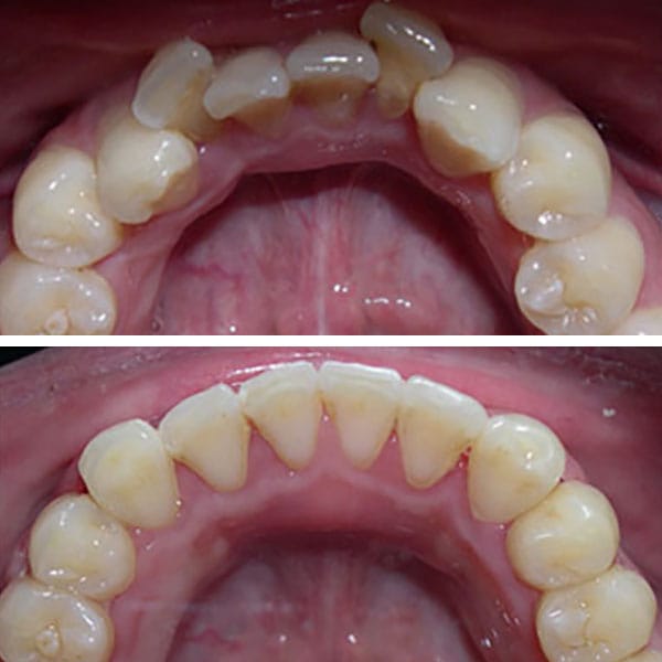
인비절라인을 통해 개선된 치열의 모습입니다. 위 사례의 경우 이동량이 많은 편에 속합니다. 공간도 부족해보이구요. 이 경우 조금 기간을 길게 잡으셔야 합니다. (출처: https://www.clocktower-dental.com/)
많은 분들이 궁금해하는 부분입니다.
같은 인비절라인인데도
치료기간이 달라지는 이유는 크게 몇 가지입니다.
첫 번째는
치아 이동량입니다.
치아가 많이 움직여야 할수록
당연히 시간이 더 필요합니다.
특히
돌출입
교합 문제
심한 삐뚤어짐
이 있는 경우는
인비절라인 치료기간이 길어질 수 있습니다.
인비절라인 치료기간을 결정하는 가장 큰 요소는 ‘얼마나 많이 움직여야 하느냐’입니다
의외로 중요한 변수 하나
많은 분들이 잘 모르시는 부분인데요.
인비절라인은
착용 시간에 따라 치료기간이 크게 달라집니다.
하루 20~22시간 착용이 권장되는데
이걸 지키지 않으면
치아 이동이 늦어지고
계획보다 치료기간이 늘어납니다
실제로 연구에서도
예상보다 치료기간이 길어지는 경우가 꽤 보고됩니다.
착용 시간을 지키지 않으면 치료기간은 생각보다 쉽게 늘어납니다
이 부분이 정말 중요합니다. ^^
중간에 치료기간이 늘어나는 이유
환자분들마다 치아의 이동 속도나 이동 양상이 처음에 예상했던 것과 다르게 진행되는 경우가 있습니다. 이런 경우엔 추가로 기간이 늘어날 수 있겠죠. (출처: https://paloaltoorthodontics.com)
인비절라인 치료 중
추가로 기간이 늘어나는 경우가 있습니다.
대표적인 이유가 바로
리파인먼트(refinement)입니다.
쉽게 말하면
마지막 미세 조정을 위한 추가 교정 단계입니다.
많은 환자분들이
이 과정을 한 번 이상 거치게 됩니다.
이 경우
👉 2~6개월 정도 추가되는 경우도 있습니다.
처음 계획보다 치료기간이 늘어나는 것은 드문 일이 아닙니다
인비절라인이 더 빠른 경우도 있을까
과연 붙이는 교정기가 더 빠를까요 인비절라인이 더 빠를까요? 철로 만들어진 교정기니깐 더 빠를까요? (출처: https://www.milnororthodontics.com/)
비교 질문도 자주 받습니다.
“인비절라인이 붙이는 교정기보다 더 빠른가요?”
연구에 따르면
경우에 따라 인비절라인이
몇 개월 정도 더 빠른 경우도 보고됩니다. (아래논문)
다만
간단한 케이스 → 인비절라인 유리
복잡한 케이스 → 차이 크지 않음
이렇게 이해하시면 됩니다.
보통 1년~1년반 정도 소요됩니다.
개인차는 물론 있습니다.
인비절라인 치료기간은
평균 12~18개월 정도지만
개인에 따라 크게 달라질 수 있습니다.
특히
치아 이동량
교합 문제
착용 시간
추가 치료 여부
이 네 가지가
치료기간을 결정하는 핵심입니다.
그래서 상담 시 들었던 기간은
“예상값”이라고 생각하시는 것이 좋습니다.
치료는 계획대로 진행되기도 하지만
조금 더 길어지는 경우도 흔하기 때문입니다.
서울대 윤원장이었습니다.
감사합니다.
👇🏻 함께 읽어보시면 좋은 글들!👇🏻

